Inspiration
The dearth of testing for COVID is not a mystery. It is said, by experts in the field, that increasing the upper bound for testing is absolutely essential for the successful treatment of COVID-19. This is why we wish to supplement the current testing scheme with another method that does not have the same problem of resource limitations.
What it does
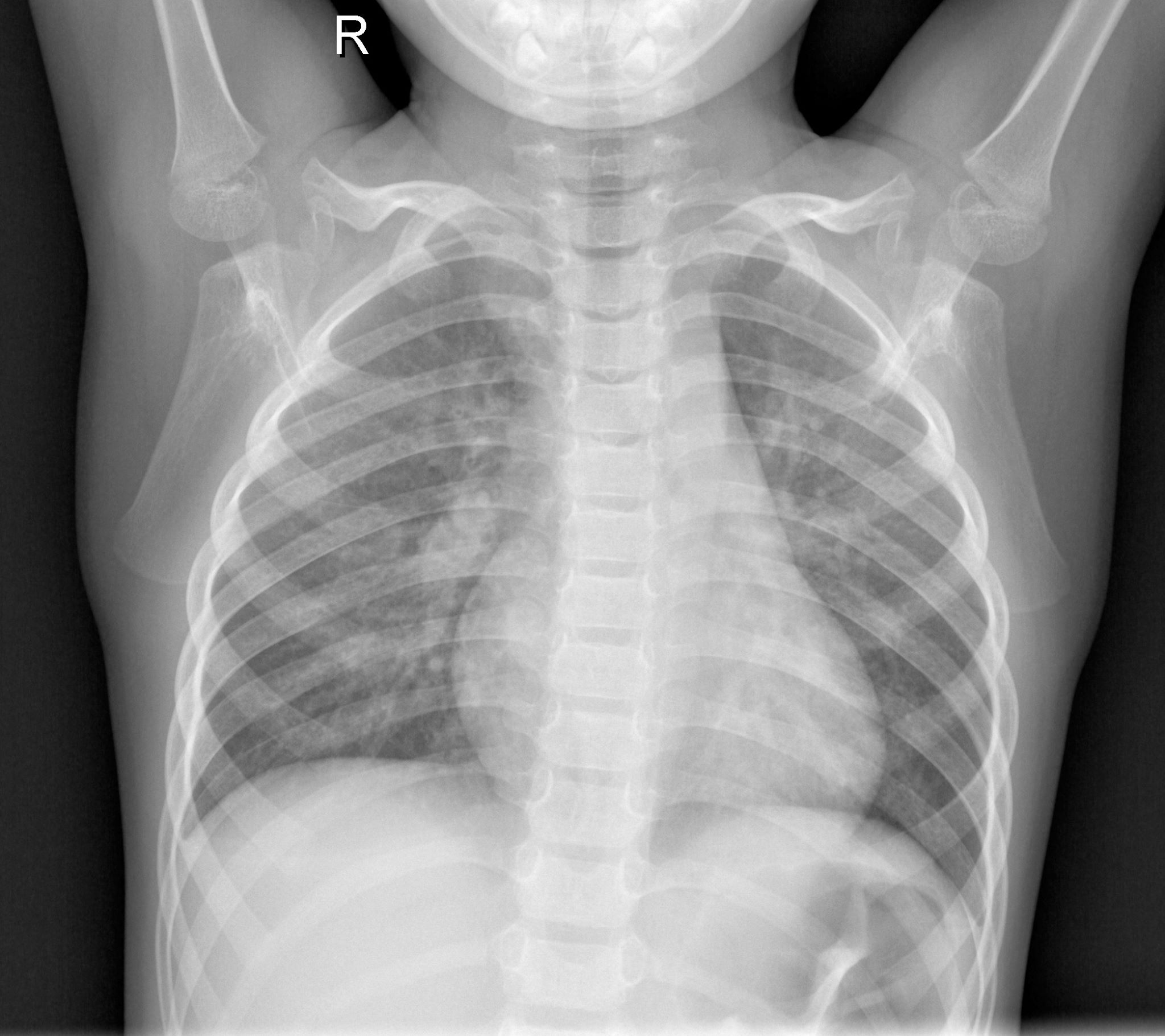
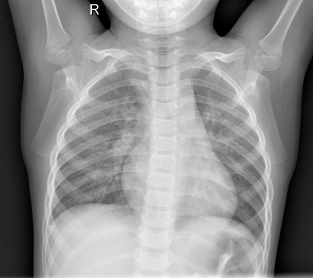
Our project takes in medical X-ray imaging from patients and classifies the X-ray images for COVID-19 using a Convolutional Neural Network (CNN) and image classification techniques.
How we built it
Front-end was built as an HTML webpage that takes in X-ray images. Normalization of the images is performed (to account for orientations, inaccuracies, etc.) then the image is subjected to the CNN classification. Resultantly, the diagnosis is returned on the HTML webpage.
Challenges we ran into
It was particularly difficult for us to honestly evaluate the situation and the current response to COVID-19. We were adamant about creating a product that we believed had true practicality and value, and so finding the way to do that was challenging. Additionally, we struggled to find a large amount of data for training and testing the neural network, so we had to perform image augmentation techniques such as shearing.
Accomplishments that we're proud of
Getting a team together virtually and to complete such a task is something we found challenging but very rewarding. We are happy that we could identify a problem and propose a product that we all have full faith in. We not only were able to get something that was working but also something that we are proud to call our work.
What we learned
We learned the value of data augmentation, especially on challenging, novel problems where large, expansive datasets may not yet exist. This thinking "outside the box" was essential to our success in the project.
What's next for X-Ray COVID
If this project could be implemented on real world data i.e. in healthcare centers that would be the first step of its effectiveness in real life. We wish to see if this product can be piloted, first on a local level. But, the sky is the limit.
Built With
- cnn
- python
- tensorflow
Log in or sign up for Devpost to join the conversation.