TSF 2024 (Home Optimization of Sterilization Economically - HOSE)
Authors: Daisy Li, Kelly Wang
Gold Award Recipient @ TSF 2024!
Home Optimization of Sterilization Economically (HOSE) is a project that intends to find the most economical way to sterilize household objects with materials available at home by comparing the amount of time a sample has spent in boiling water with the area of the corresponding bacterial colony growing on a petri dish. It consists of three phases: Experimentation/Data Gathering, Data Analysis, and Prototyping.
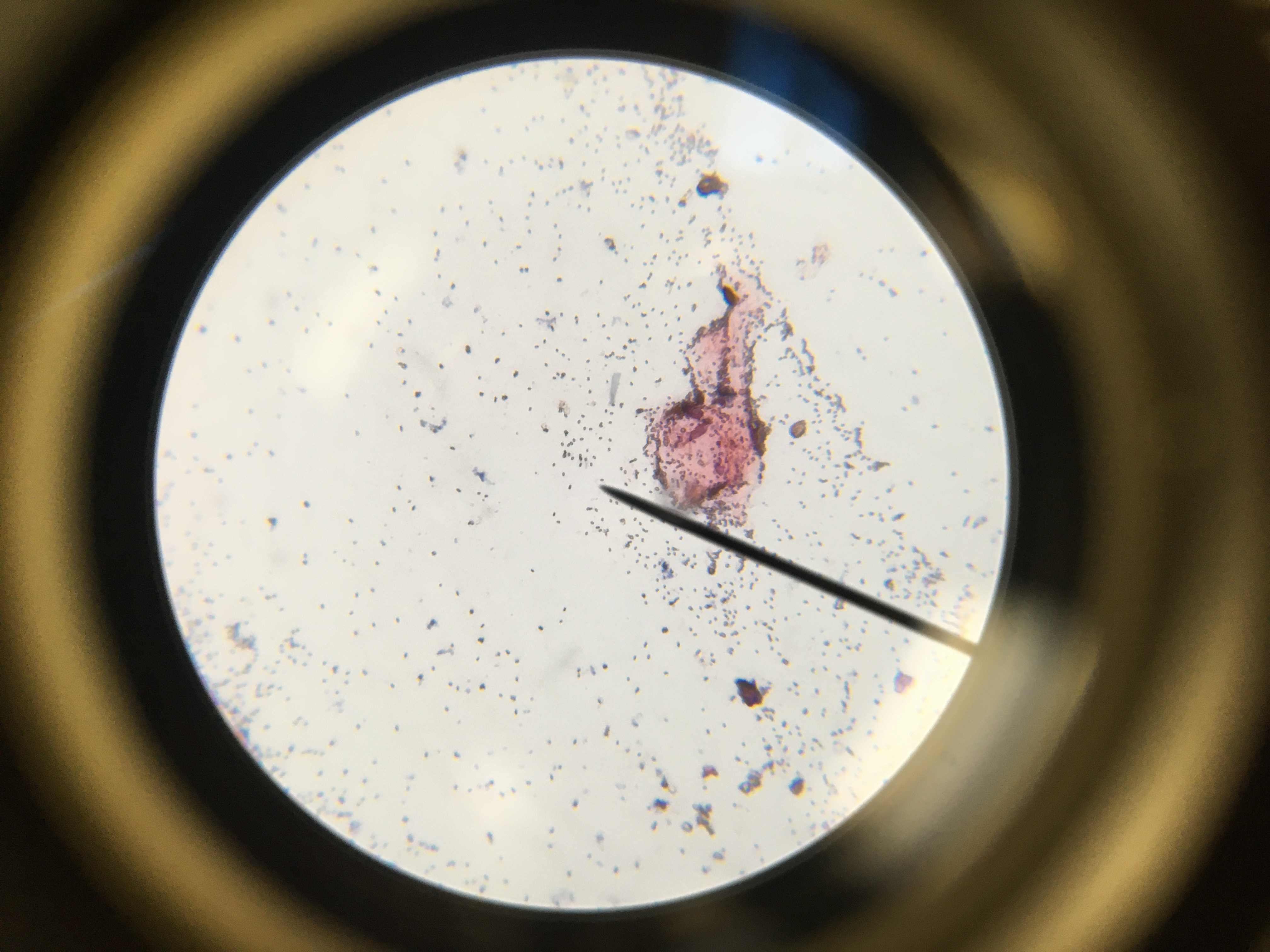
During experimentation, we designed an experiment to gather two-variable data with each sterilization time amount and bacterial colony area. First, a small tinfoil container with enteric bacteria solution would be dipped into boiling water for different specified amounts of time. Then, we would streak the petri dishes (sterilized using a pressure cooker), label them with the time amount, and incubate them for 48 hours.
After incubation, we would use ImageJ to threshold photos of each petri dish to gather bacterial colony area data. This would then allow us to analyze the data. For data analysis, we used the Python modules Pandas and Scikit-learn to generate a linear regression model with key statistics that we could use to determine the fit and correlation of the data. This linear regression model would then be able to predict the sterilization effectiveness given any amount of time spent in boiling water.
Finally, using the linear regression model generated during data analysis, we built a prototype with Arduino to detect the amount of time an object has spent under boiling water, and output the sterilization percentage on the LCD screen connected to the main chip.
The GitHub repository linked below contains the Jupyter Notebook used to analyze the data with Python modules Pandas and Scikit-Learn, and the Arduino sketch that drives the prototype.
The Data Processing folder contains the Jupyter notebook (which contains the code for processing the data) and related CSVs, while the Prototype folder contains the Arduino sketch and the early prototype script, which is in Python.
Log in or sign up for Devpost to join the conversation.