CerebrAI
Advancing Accuracy and Reliability of Brain Tumor Classifications Using A Hybrid Quantum Neural Network
Classifier prototype code is available at https://github.com/AbrahimMahmud/CerebrAI/blob/main/QuantumBrainTumorClassifier.ipynb
Generative Adversarial Networks code is available at https://github.com/AbrahimMahmud/CerebrAI/blob/main/CGAN.ipynb
Abstract
The convergence of quantum computing, artificial intelligence, and medical condition diagnostics leverages sophisticated computation and inference to generate insights, enables the system to reason and learn, and empowers clinician decision-making through augmented intelligence. Generative adversarial networks allow data scientists to overcome the limited data barrier and create more reliable and accurate models.
Keywords: Quantum Computing, Artificial intelligence, Generative Adversarial Network Environment: Google Colaboratory, Wix License: MIT
Overcoming The Data Barrier
Data quality remains the top barrier when it comes to using machine learning to extract valuable insights. Data engineering problems also pose a significant problem, such as data being siloed, lack of talent to connect disparate data sources, and not being fast enough to process data in a meaningful way. An innovative solution known as Generative Adversarial Networks, or GANs for short, are an approach to generative modeling using deep learning methods, such as convolutional neural networks. Generative modeling is an unsupervised learning task in machine learning that involves automatically discovering and learning the regularities or patterns in input data in such a way that the model can be used to generate or output new examples that plausibly could have been drawn from the original dataset.
Accelerating AI with Quantum Computing
Quantum computers process information in a fundamentally different way from traditional computers. Previous computer technology advancements enabled faster computing, but were still based on classical information processing. These computers manipulate quantum bits (qubits). These are unlike classical bits, which store information as either a 0 or 1, and they can display quantum properties such as entanglement. As a result, it becomes possible to construct quantum algorithms that can outperform their classical counterparts which are not able to leverage quantum phenomena. With a dataset enhanced from the GAN, our quantum model promises more reliable and accurate results.
Hybrid Quantum-Classical Neural Networks
Computing the fitness function and its gradient for control input, can be accomplished by the process of evolution and measurement on quantum hardware. By posing queries to and receiving answers from these devices, classical computing devices update the control parameters until an optimal control solution is found. Using this hybrid approach gives rise to interesting areas of research that seek to leverage the principles of quantum mechanics to augment machine learning or vice-versa. Enabling us to enhance classical ML algorithms by outsourcing difficult calculations to a quantum computer. To create a quantum-classical neural network, one can implement a hidden layer for a neural network using a parameterized quantum circuit, a quantum circuit where the rotation angles for each gate are specified by the components of a classical input vector. The outputs from the neural network's previous layer will be collected and used as the inputs for a parameterized circuit. The measurement statistics of the circuit can then be collected and used as inputs for the following layer.
Prototype
To test the speed, practicality, efficiency, and cost of quantum-accelerated ML as well as its usefulness in precision medicine, we have devised two prototypes written in Python. The concise, expressive, and dynamic nature of the Python language makes it well suited for prototyping tasks. The first prototype notebook uses the GAN to artificially manufacture images for model training. The second prototype notebook is a hybrid quantum-classical neural network that utilizes the generated image set along with the pre-existing data for model training and evaluation. To demonstrate the practicality and ease of use of this model, we developed a Wix website with Velo developer mode. This site would act as a doctor and patient portal for doctors to input brain MRIs and predict brain tumor presence, and allow patients to easily view test results.
The full code for both notebooks are available under the prototype folder. The link to the website is available on this submission.
Data
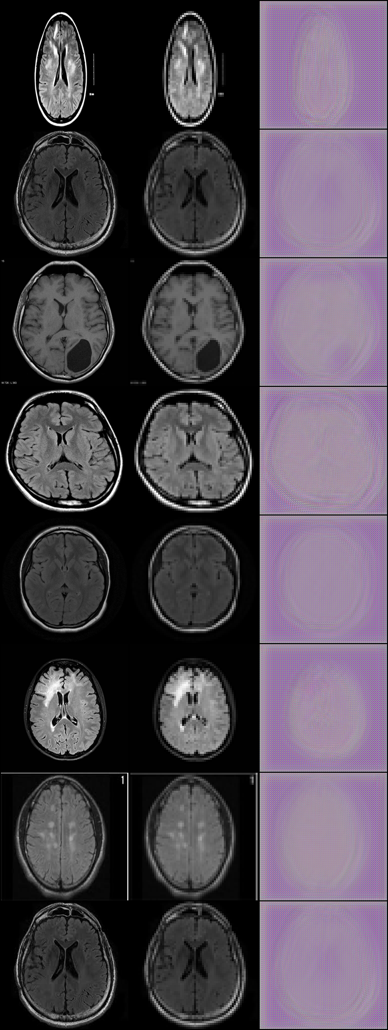
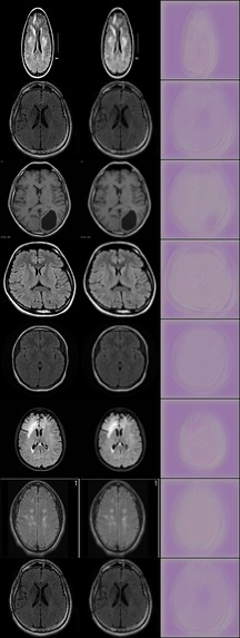
The original dataset we used for our project can be found in GitHub at https://github.com/PerceptiLabs/Brain-Tumors.
Tools and Hardware
Code developed on Google Colab using GPU Hardware Accelerator Pennylane Lightning Backend used to locally host a Quantum Computer Simulator
Inspiration
We wanted to create a free resource, available to everyone regardless of race, gender, economic status. WIth this resource, we hope to detect brain tumors pre-maturely.
Challenges we ran into
For the Back-end development, we ran into problems with Authentication. We had little to no experience working with Javascript, so naturally we ran into problems trying to implement Auth0 in Wix Velo. However, after exploring Velo, and researching we found out that Wix's SSO feature is powered by Auth0. As a result, we found a way to create custom buttons on Velo natively.
What's next for cerebrAI
We hope to implement chatBot, which will connect you to Doctors around the globe. Not only that, we plan to include functionality for users to upload pictures directly from the website portal to the ML algorithm and receive their predicted results.Finally, we would like to incorporate blockchain technology in order to make the data transferred more secure.
How to Use CerebrAI
Clone “QuantumBrainTumorClassifier.ipynb” and “hybrid_model.h5” files from CerebrAI GitHub Repository

Log in or sign up for Devpost to join the conversation.