Cenário:
Trans e Multidisciplinar: Integração Versus Competição
Investimento Mínimo para descobrimento de Vacina: US$1 bilhão
Prazo: 4 anos
Histórico: Nós da StartUp Mellieri nivel 3 100 Open StartUP, estamos com nosso projeto Aissi* na fila em função do foco exclusivo do mercado no Desafio Covid-19.
O que era um lixeira inteligente e parte de um sistema para economia circular, que inclui seleção de lixo por braço robótica com visão (detestação de objeto) para eliminar o risco de contágio, não vai ser parido apenas via conference call, dai uma pequena readequação de esforços colaborativos com foco puro no em soluções ao Desafio Covid-19.
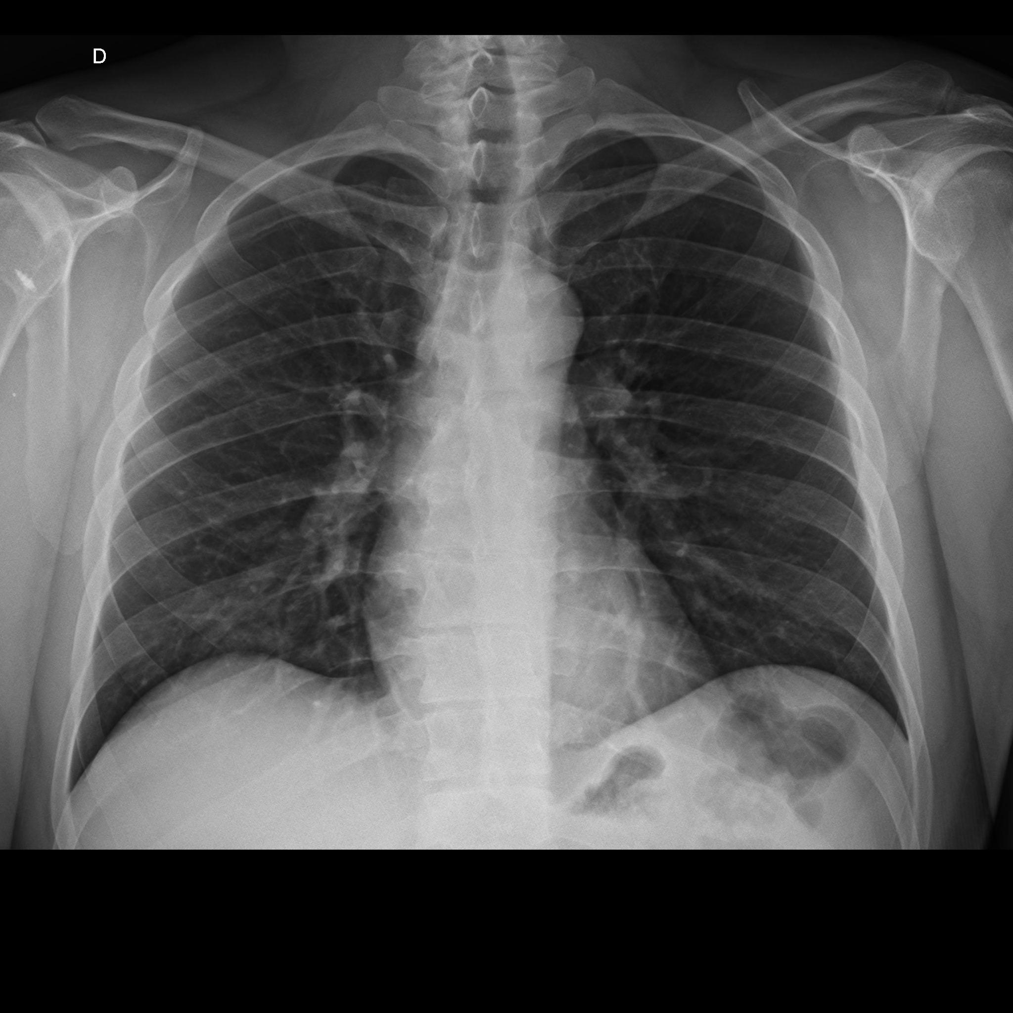
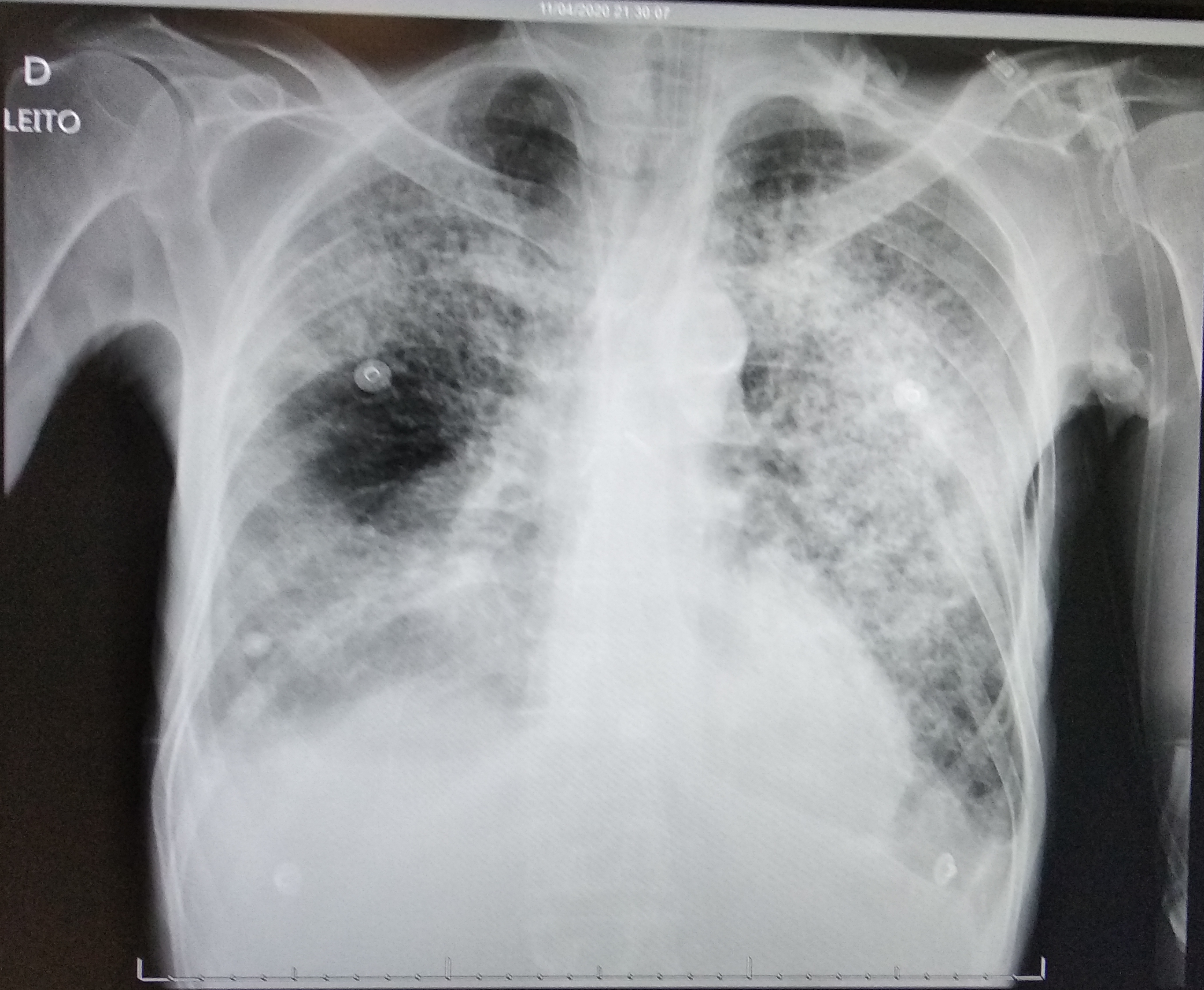
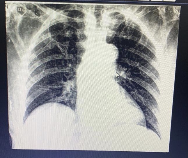
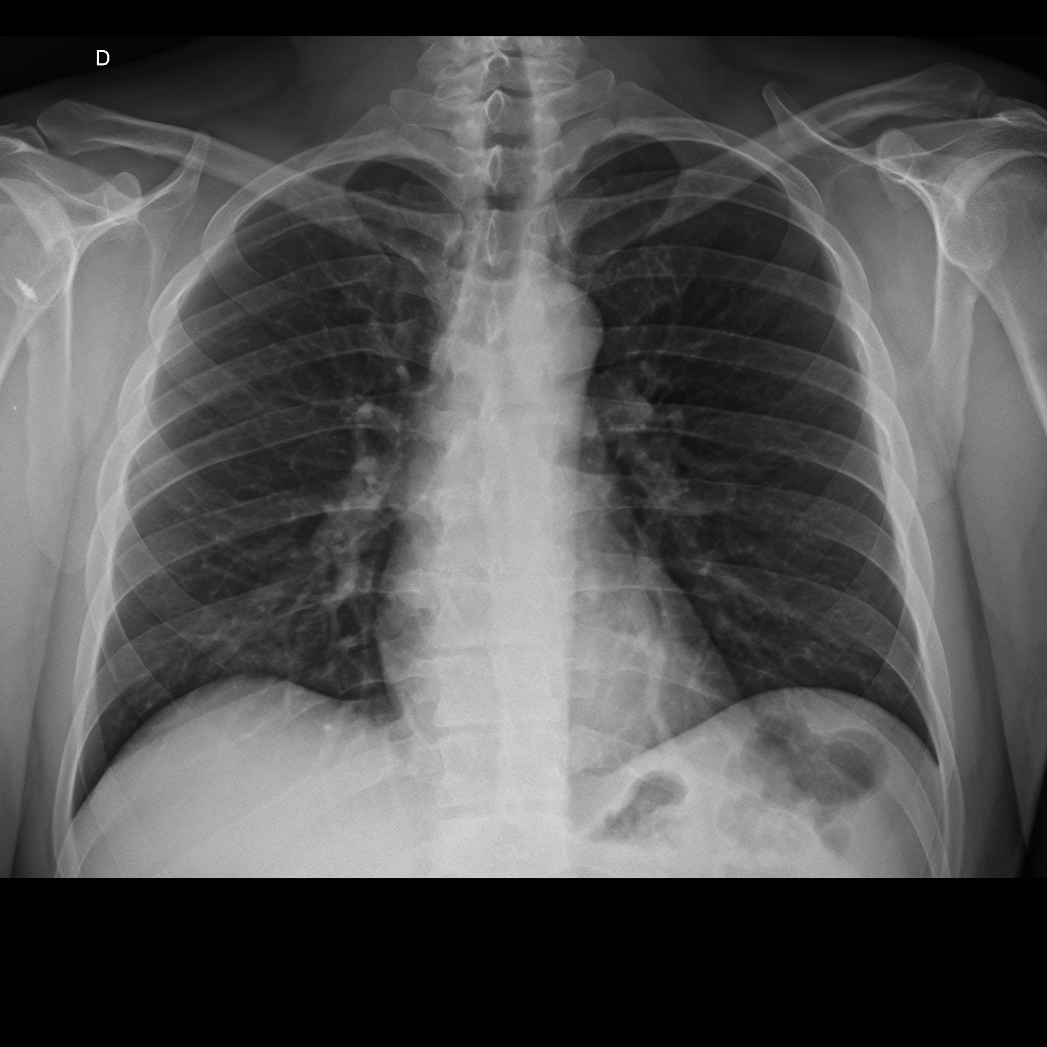
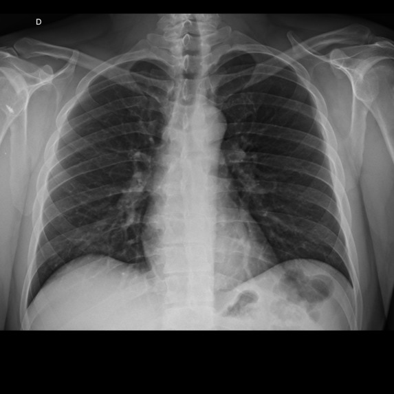
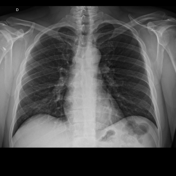
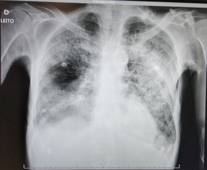
Demanda: Estudo de Caso Clínico (qual o meio de obte-lo: contrato NDA, orçamento?) das análises que fizemos (em anexo) de raio x e tomografia computadorizada obtidos em base pública realizado sob plataforma pública de deep learning com modelo abastecido por datasets públicos de pacientes suspeitos de contágio com covid-19 e outras doenças respiratórias****.
Agenda:
1 - Abrir a plataforma Covid-19, uma base de imagens de raio-X (open data) do Ministério da Saúde de pacientes suspeitos, com resultado POSITIVO para COVID-19, outras doenças respiratórias.
https://covid-19.maida.health/casos?fitro=todos&page=2
https://maida.health/conheca-o-covid-19-maida-health/
2 - Abrir a plataforma Teachable Machine com o modelo Treinado Mellieri Human
https://teachablemachine.withgoogle.com/train
Nota: Trabalhamos com outros modelos by google colab em função da limitação de processamento local ou quando precisamos monitorar ou manipular a acurácia dos modelos.
Em função da velocidade, optamos, por ora por plataforma online aberta.
3 - Treinar o Modelo Mellieri Human de Rede Neural Convolucional para detectar o COVID-19 e outras doenças respiratórias em imagens de raios-X e tomografia computadorizada.
https://drive.google.com/file/d/1xj7eVUcH-UnmP0FI-oyQrYQfEhsHJTIL/view?usp=sharing
4 - Notamos que um paciente pode ter um misto de complicações respiratórias (Covid e Pneumonia por exemplo).
Qual impacto disto nas pesquisas e soluções para combate ao covid-19 como vacinas em função do estágio da doença a exemplo do metadados anexos já que os diagnósticos podem ser únicos para cada paciente no tempo?
5 - Datasets:
Fornecer novos datasets de casos suspeitos e objetos de pesquisa, analisa-los sob o Modelo Mellieri Human
6 - Fontes e datasets utilizados no Modelo Mellieri Human
https://github.com/sobrinhosj?tab=repositories
Nota: Algumas bases de dados receberam aumento de dados (Data Augmentation) na ausência de um amplo dataset, curiosamente, antes da pandemia atingir o pais 70/80% dos óbitos eram grupo de risco com problemas cardíacos, ao passo que o diagnóstico com emprego de deep learning detect congestive heart failure já é obtido com um único batimento cardíaco de forma que uma única chapa ou tomográfica computorizada, independentemente do estágio, desde que seja positivo covid-19 pode ser empregado como dataset para emprego global de casos, o que não exclui a importância do diagnóstico amplo e diverso a exemplo de casos que combinam covid-19 e outras patologias respiratórias ***
***
COVID19_Dataset num_samples=244 views=['PA', 'AP']
{'ARDS': {0.0: 229, 1.0: 15},
'Bacterial Pneumonia': {0.0: 227, 1.0: 17},
'COVID-19': {0.0: 52, 1.0: 192},
'Chlamydophila': {0.0: 243, 1.0: 1},
'Fungal Pneumonia': {0.0: 231, 1.0: 13},
'Klebsiella': {0.0: 243, 1.0: 1},
'Legionella': {0.0: 242, 1.0: 2},
'MERS': {0.0: 244},
'No Finding': {0.0: 242, 1.0: 2},
'Pneumocystis': {0.0: 231, 1.0: 13},
'Pneumonia': {0.0: 2, 1.0: 242},
'SARS': {0.0: 228, 1.0: 16},
'Streptococcus': {0.0: 231, 1.0: 13},
'Viral Pneumonia': {0.0: 36, 1.0: 208}}
COVID19_Dataset num_samples=38 views=['AP Supine']
{'ARDS': {0.0: 37, 1.0: 1},
'Bacterial Pneumonia': {0.0: 38},
'COVID-19': {0.0: 4, 1.0: 34},
'Chlamydophila': {0.0: 38},
'Fungal Pneumonia': {0.0: 38},
'Klebsiella': {0.0: 38},
'Legionella': {0.0: 38},
'MERS': {0.0: 38},
'No Finding': {0.0: 38},
'Pneumocystis': {0.0: 38},
'Pneumonia': {0.0: 4, 1.0: 34},
'SARS': {0.0: 38},
'Streptococcus': {0.0: 38},
'Viral Pneumonia': {0.0: 4, 1.0: 34}}
**A convolutional neural network approach to detect congestive heart failure
Mihaela Porumba, Ernesto Iadanza b, Sebastiano Massaroc,d, Leandro Pecchiaa,∗
a University of Warwick, School of Engineering, Coventry CV4 7AL, UK b University of Florence, v. S. Marta, 3, Florence, Italy c The Organizational Neuroscience Laboratory, London WC1N 3AX, UK
**
https://drive.google.com/drive/search?q=ecg
*
https://www.instagram.com/p/B_FyH7JH_Vk/
Zeh S Sobrinho
+55 11 974869327
Log in or sign up for Devpost to join the conversation.