Inspiration
Medical video feeds such as ultrasound, echocardiography, and laparoscopy are constantly in motion due to camera movement and natural anatomical motion. While many collaboration tools allow annotations, these annotations are usually static and quickly become misaligned, reducing their usefulness in real clinical or educational settings. We were inspired by HoloRay’s mission to improve healthcare collaboration and learning, and wanted to explore how motion-tracked annotations could make medical video interpretation clearer, more intuitive, and more reliable.
What it does
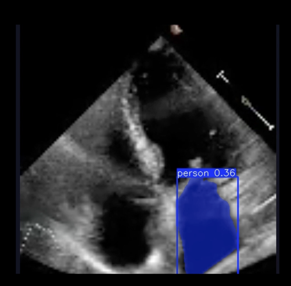
Medvision allows users to place annotations on a medical video feed and keeps those annotations anchored to the same visual anatomy as the video moves. Instead of annotations “floating” or drifting when the camera or anatomy moves, the annotation follows the motion of the underlying structure, demonstrating how motion-tracked annotation can improve clarity during live or recorded medical procedures.
How we built it
We built HoloTrack with:
- Backend / Tracking: Python with OpenCV (cv2) for motion tracking, feature detection, and optical flow experiments
- Frontend / UI: HTML, CSS, and JavaScript to display the video, render annotation overlays, and visualize tracking states
Challenges we ran into
One of our biggest challenges was designing tracking that worked well with user-placed annotations. Tracking arbitrary points chosen by a user is significantly harder than tracking predefined objects.
We also struggled with precision and stability, especially when dealing with jitter, drift, occlusion, and moments when the annotated region leaves the frame. Finally, integrating the Python tracking logic with the frontend visualization was challenging, particularly ensuring smooth, real-time updates that aligned with video frame rates.
Accomplishments that we're proud of
- Tackling a technically difficult problem as a team of beginners
- Successfully collaborating across frontend and backend roles
- Designing a UI that clearly demonstrates tracking accuracy, stability, and robustness
- Completing our first hackathon project while learning new tools under time pressure
What we learned
Through this project, we learned about:
- Motion tracking and computer vision concepts in Python
- OpenCV feature tracking and optical flow techniques
- Team collaboration and problem-solving in a hackathon environment
What's next for MedVision
Next, we would like to: support multiple annotations at once, improve tracking robustness using more advanced models, and enable collaborative/multi-user annotation.

Log in or sign up for Devpost to join the conversation.