Inspiration
Increasing amounts of COVID-19 related data, so consider the following: How might we apply existing technologies and systems to best use existing COVID-19 data?
What it does
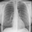
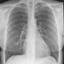
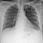
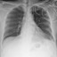
With an x-ray image of an individual's healthy lungs, we are able to use machine learning techniques to add features indicative of COVID-19. Given that we're handling an image, we took an approach that applied the use of Generative Adversarial Networks (GANs) to create a new image of the same lungs except with added COVID-19 properties. COVID-19 may manifest in an x-ray as cloudy regions in the lungs, known as ground glass opacities.
How we built it
We built an Auxiliary-Classifier GAN (arXiv:1610.09585) that produces lung x-rays with or without COVID-19 properties based on an inputted condition. After the generator has been trained, an inputted healthy lung x-ray is encoded into a latent vector via gradient descent with a VGG perceptual loss (arXiv:1802.05701, arXiv:1603.08155). Then, a condition vector is concatenated with this latent vector and run through the generator to produce the same lung x-ray but with COVID-19 ground glass opacities. This model was written in Pytorch. Hyperparameters and code can be found at the following GitHub. The training data included around 2000 total 64x64 COVID positive and negative x-rays.
Challenges we ran into
Exporting the GAN model into Flask.
Accomplishments that we're proud of
Clean UI, cool usage of GANs, and building it into a easy-to-use application.
What we learned
Linking several different skillsets together into a cohesive final product.
What's next for COVIDify
Continue to collect and train data sets of various lung x-rays to improve the training and classifying steps that are applied to the GAN framework. We can also apply to larger images to increase resolution, but this will require more computational power. We're also curious to see how this framework can be applied to different illnesses. So if there is a novel disease, researchers/doctors/officials may use this GAN methodology to study attributes of the illness.
Log in or sign up for Devpost to join the conversation.