Summary
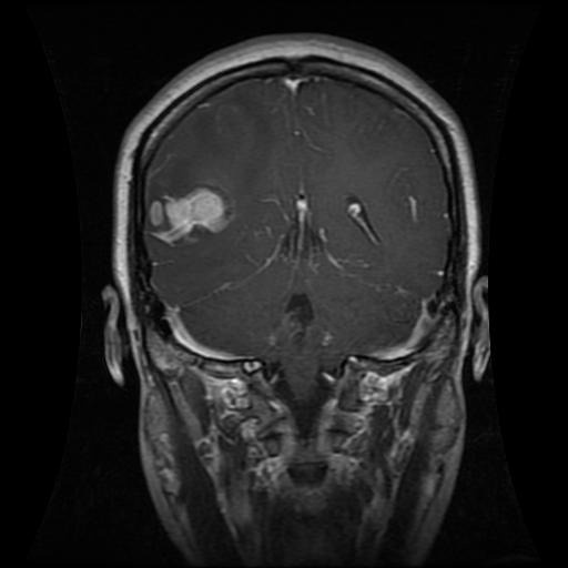
Problem: Radiologists have to spend some time reading brain MRIs and CT scans to find maladies such as a tumor. Currently, neurosurgeons, radiologists, and other medical professionals tend to personally examine hundreds or even thousands of CT scans and MRIs for the presence of brain tumors. This action consumes valuable time that could be used for treatment and other important tasks.
Solution: We created two convolutional neural networks to detect whether an image has a glioma tumor, meningioma tumor, or no tumor at all. Using two AIs mitigates their percent error. They are two very different structures that take in two differently-transformed inputs. Thus, their accuracies should accumulate rather than be the same.
Log in or sign up for Devpost to join the conversation.