Inspiration
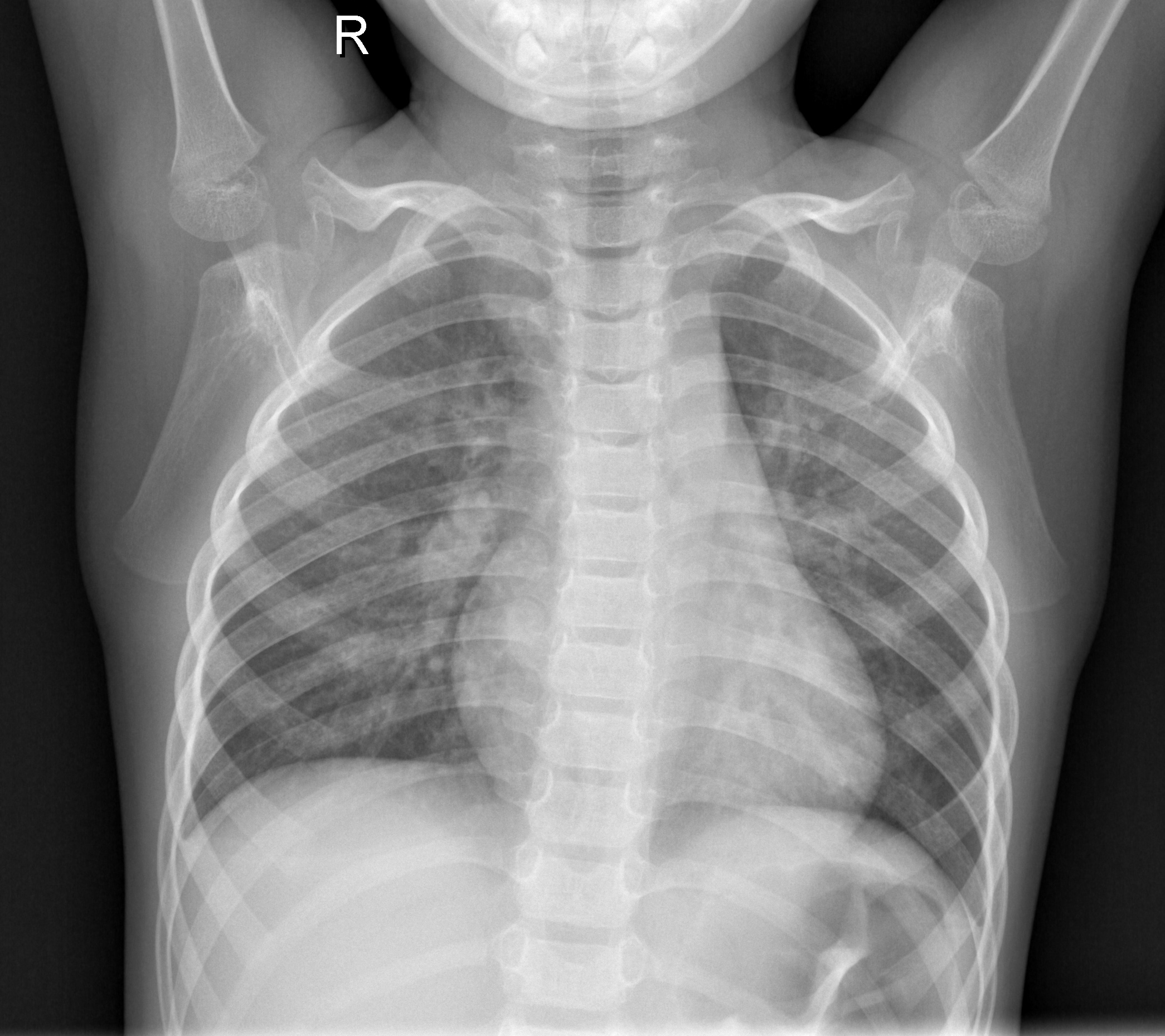
I was inspired to develop this image diagnostic tool by the significant challenge posed by the misclassification of chest X-ray images depicting diseases like Pneumonia, Tuberculosis, and Breast Cancer. I aimed to address the problem of delayed intervention, compromised patient outcomes, and the high cost associated with accurate interpretations, particularly in resource-constrained regions.
What it does
The image diagnostic tool leverages Convolutional Neural Networks (CNNs) and deep learning techniques to analyze and classify chest X-ray images. By utilizing transfer learning and the VGG19 CNN architecture, the tool aids doctors in accurately interpreting these images, reducing the number of false positives and negatives. It provides a collaborative approach where doctors can upload the images, and the tool provides an initial diagnosis that is verified by the doctor based on their medical expertise.
How I built it
I trained CNN models using deep learning techniques to build the image diagnostic tool. I employed transfer learning and utilized the VGG19 CNN architecture. I trained the models on a large dataset of chest X-ray images depicting Pneumonia, Tuberculosis, and Breast Cancer. I developed the tool with a user-friendly interface for doctors to upload images and receive timely and accurate diagnoses.
Challenges I ran into
During the development of the tool, I faced several challenges. One of the major challenges was acquiring a diverse and high-quality dataset for training the CNN models. Additionally, optimizing the model's performance and reducing false positives and negatives required fine-tuning and extensive experimentation. Ensuring the tool's compatibility with different image formats and integrating it with existing healthcare systems were also significant challenges.
Accomplishments that I am proud of
I am proud to have developed an image diagnostic tool that addresses the challenges posed by the misclassification of chest X-ray images for diseases such as pneumonia, tuberculosis, and cancer. The tool achieves high accuracy in classifying diseases like Pneumonia, Tuberculosis, and Breast Cancer, aiding in timely and improved diagnoses. I am proud of the collaborative approach I implemented, where the tool complements the doctor's expertise and saves time and cost. Furthermore, I am proud of this tool's potential impact in improving healthcare outcomes, reducing mortality rates, and increasing accessibility to accurate diagnostic services, especially in resource-constrained regions.
What I learned
During the development process, I gained valuable insights into the application of deep learning techniques, specifically CNNs, in medical image diagnostics. I learned about the challenges associated with acquiring and preprocessing medical image datasets and the importance of fine-tuning models for optimal performance. Additionally, I gained an understanding of the collaborative approach between the tool and doctors, highlighting the importance of human expertise in the diagnosis process.
What's next for the image diagnostic tool
Moving forward, my plan is to enhance the image diagnostic tool in several ways. Firstly, I aim to expand the tool's capabilities by incorporating the classification of additional diseases and abnormalities in chest X-ray images. This would provide a more comprehensive diagnostic solution for doctors. Additionally, I intend to continuously improve the tool's accuracy by fine-tuning the CNN models and incorporating feedback from medical professionals. Furthermore, I plan to explore the integration of the tool with telemedicine platforms, enabling remote consultations and extending its reach to underserved areas. Overall, my goal is to continue advancing the tool's capabilities to make a meaningful impact in improving healthcare outcomes worldwide.
Log in or sign up for Devpost to join the conversation.