-
-
Homepage
-
Doctor's dashboard
-
Alert page for patient
-
Patient's Dashboard
-
Uploaded CSF Examination Report showing elevated WBC count and protein levels with polymorph presence, used as input for AI-based diagnostic
-
AI-generated CSF report summary via Flask API in Postman. Apologies for the lack of live demo due to environment limits.
-
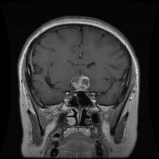
MRI brain scan input for AI diagnosis in Hospital Copilot. Apologies for no live demo due to setup limits.
-
AI analyzed MRI via Flask API; possible pituitary lesion detected. Apologies for no live demo due to deployment limits
Inspiration
During hospital visits and case studies, we saw firsthand how medical professionals were juggling multiple platforms, manually documenting patient data, and facing diagnostic delays—all while under immense pressure. This inspired us to ask:
"What if we could give doctors an intelligent assistant that could handle records, generate reports, and support decisions in real time?"
That question led to the creation of Hospital Copilot—a smart, AI-augmented hospital management system that brings automation and intelligence to healthcare workflows.
What it does
Hospital Copilot is a full-stack, AI-powered hospital management system designed to:
🧠 Generate Diagnostic Reports from uploaded X-rays, MRIs, and medical kit images using a generative LLM.
📋 Manage Patient Records, including history, medications, and assigned doctors.
📈 Track and Visualize Vitals (SpO₂, heart rate, temperature, BP) over time.
📝 Log Clinical Notes with timestamps for collaborative care.
📄 Upload Medical Files like prescriptions and lab results.
📅 Schedule Appointments & Treatments with alerts and reminders.
🚨 Send Emergency Alerts via Twilio and Nodemailer.
📑 Generate Discharge Summaries in downloadable PDF format.
🔐 Protect Data with secure, role-based access controls.
How we built it
We built Hospital Copilot using the MERN stack (without React) and modern AI integrations:
Backend: Node.js, Express.js, MongoDB (Mongoose)
Frontend: HTML, CSS, JavaScript, Bootstrap
AI & Image Analysis: LLM-powered cloud inference for diagnostic report generation
Authentication: JWT-based auth with bcrypt password hashing
Security: Helmet, CORS, rate-limiting
Notifications: Twilio for SMS, Nodemailer for email
File Handling: Multer for file uploads, PDFKit for report generation
The system is modular, scalable, and deployment-ready for hospital or clinic environments.
Challenges we ran into
Integrating AI with Medical Image Input Converting diverse images like X-rays and MRIs into structured, accurate diagnostic text via LLMs required deep prompt tuning and preprocessing.
Handling Sensitive Data Securely Ensuring data privacy similar to HIPAA standards required implementing strong authentication, encryption, and access control mechanisms.
Managing Real-Time Performance File uploads and AI responses slowed the system. We resolved this using async handling, compression, and optimized queues.
Designing for Doctors We had to ensure the UI was powerful yet intuitive for busy professionals. Multiple redesigns based on feedback helped us refine usability.
Validating in a Medical Context We tested AI responses against public datasets and built manual fallback options to ensure clinical reliability.
Accomplishments that we're proud of
🧠 Successfully built and integrated a diagnostic report generator using generative AI.
🏥 Delivered a complete hospital management backend with secure APIs and file support.
📈 Created real-time vitals monitoring with chart visualization.
📤 Built a one-click emergency alert system integrated with SMS and email.
🔐 Ensured strong data protection with full role-based access and API hardening.
🚀 Developed a scalable, modular system that can serve both clinics and hospitals.
What we learned
LLMs can go beyond chatbots. We learned how to apply generative AI to real medical data with meaningful outputs.
Security is non-negotiable in healthcare. Implementing JWT, bcrypt, and role-based models taught us a lot about data safety.
UX in critical environments is unique. Designing for speed, clarity, and simplicity under pressure changed our approach to UI/UX.
Effective teamwork = fast delivery. Tight deadlines pushed us to communicate, divide tasks, and iterate rapidly.
APIs like Twilio are lifesavers (literally). Real-time communication systems add a critical layer to emergency readiness.
What's next for Hospital Copilot
🩺 Expand AI Diagnostic Capabilities to CT scans, ECGs, and lab reports, with differential diagnosis support.
🌍 Add Multilingual Support for rural and global healthcare access via text and voice interfaces.
📲 Mobile & Tablet Optimization for on-the-go use during rounds or fieldwork.
⌚ Integrate with IoT Wearables like smartwatches and remote patient monitors.
👩⚕ Enable Collaborative Doctor Panels with real-time comments, planning, and notes.
🏥 Integrate with EHR Systems like Epic, Cerner, or openEHR.
✅ Implement HIPAA/GDPR Compliance with audit logs, encryption, and retention policies.



Log in or sign up for Devpost to join the conversation.