Inspiration
Holoray set a challenge to annotate and track features on medical imagery - a difficult challenge with many important applications. A low latency, high accuracy solution would work for live surgery or demos, while slower solutions would still have applications in the classroom. It's also just a good exercise in computer vision.
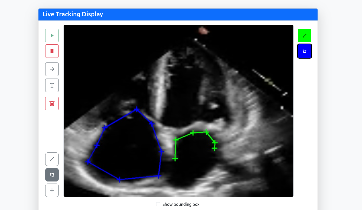
What it does
Choose videos, add annotations - either polygons or free form lines - and watch them track! Add arrows and text to improve clarity.
How we built it
We used OpenCV to handle the tracking, and used Flask to create the front end.
Challenges we ran into
Optimising tracking for accuracy and speed is extremely difficult, and required making decisions on trade offs and experimenting with workflows and parameters.
Accomplishments that we're proud of
Over the 24 hours, we went from an incredibly shaky, borderline-schizophrenic box tracker to a well-tuned, stable, and redundant software that can accurately track shapes during surgery, ultrasound, etc. I'm incredibly proud of our perseverance and our team's ingenuity to pull this together.
What we learned
Firstly, we learned that tracking shapes in an ultrasound is hard! We spent a lot of time researching, iterating, and developing various methods of tracking shapes in sub-optimal video conditions. In this, the most challenging aspect was optimization. We learned a lot about making the tracking code faster, so that our app can run in real time.
What's next for Holoray Project
Add our lower-latency tracking solutions to the front end, enable video upload, and add more annotation features!
Log in or sign up for Devpost to join the conversation.