Inspiration

What better inspiration it would be than the gruesome situation around us where our citizens are dying and healthcare sector has bowed down to a deadly virus. So we decided to create an Remote patient monitoring system.

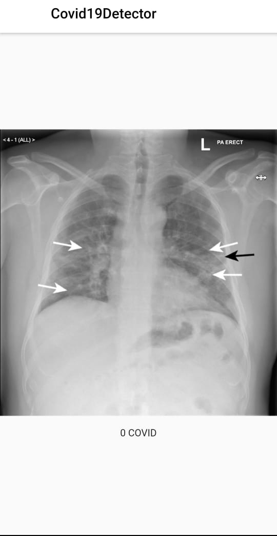
What it does

A major problem faced by hospitals, both private and government-funded, is the shortage of beds, due to which high-risk patients do not get the right care that they need. Due to the increasing cost of healthcare, families are finding it difficult to pay their medical bills.

Keeping in mind above points we have decided to make HealthyU .HealthyU is focused to cover almost all aspects related to Healthcare in a single app.

  1. Covid detection through lung x-ray using a Kaggle dataset and embedding in the flutter app through Tensorflow.

  2. Updated information regarding covid resources like beds, oxygen etc.using Twitter.

  3. 14-Day daily self tracker of medicines and measurements for asymptomatic or patients home quarantined.

  4. We are trying to measure heart rate using your camera and flash , this will prevent in buying costly measuring instruments.

  5. A special portal for senior citizens whose children are not with them , we can ask them to register on our portal and they can be taken to vaccination centers by volunteers.

  6. Donate blood , plasma and money for resources which are depleting.

  7. Since exercises improve immunity a yoga posture correction - a personal AI based assistant to detect poses using POSENET technology and image processing to calculate the correctness of the pose using another kaggle dataset.

  8. Doctor Patient interaction like video calls , appointments , nearest pharmacy through Google maps API and medicine based on symptoms.

  9. Symptoms Detector using Infermedica API.

  10. Medicine Reminder - people forget to take medication on time.

How we built it

We used Flutter with Firebase alongwith datasets from Kaggle Flutter Tensorflow PoseNET Firebase Firestore Cloud Messaging Firebase Authentication Rest APIs Google Teachable Machine

Challenges we ran into

The most challenging tasks we faced for this project were tflite implementation,using posnet technology to detect the poses,using dialog flow using infermedica api and flutter animations and as well as integrating push notifications was a toil.

Accomplishments that we're proud of

Integrating Tflite, POSENET and other new tech stacks which we are implementing for the first time.

What we learned

Team bonding and coordination in remote project submissions. New tech stacks learnt.

What's next for HealthyU

Proposed add on features Donation of blood and plasma Women health ( a Period tracker) Video conferencing with doctors Heath education via AR

Built With

Share this project:

Updates