Inspiration
Many people around the world struggle with health issues that go unnoticed. With modern technological advances, people are able to get MRI scans, but actually interpreting those scans still takes time and specialized expertise. We wanted to create a solution that makes this process faster, more intuitive, and more accessible. Our goal was to empower both medical professionals and, eventually, patients with clearer insights into brain health.
What it does
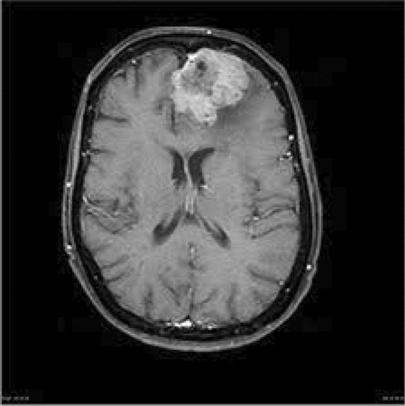
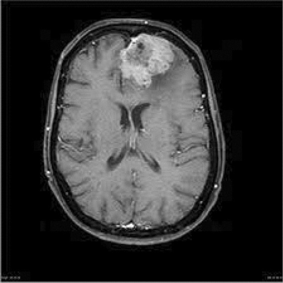
Our project, HappyMind, converts 2D MRI brain scans into interactive 3D visualizations. By leveraging AI, it helps highlight patterns and potential abnormalities that may not be immediately obvious in traditional scans. This allows for quicker analysis and a more comprehensive understanding of the data, especially in time-sensitive situations.
How we built it
We built HappyMind by combining machine learning models with 3D rendering technologies. The system processes stacks of 2D MRI images and reconstructs them into a 3D brain model. We also integrated a backend powered by Gemini 3.1 to assist with data processing and analysis, and created an interface that allows users to interact with the 3D output in real time.
Challenges we ran into
We initially had trouble with the 3D rendering and the Gemini 3.1 backend model integration. Ensuring that the 3D reconstruction was both accurate and performant required a lot of iteration. We also faced challenges in handling large medical imaging datasets efficiently and maintaining smooth user interaction without lag.
Accomplishments that we're proud of
We are happy that we were able to integrate a 3D render of the brain scan from a 2D image. Beyond that, we successfully created a pipeline that connects raw medical data to a usable and interactive visualization. Seeing the full system work end-to-end was a major milestone for our team.
What we learned
We learned the potential in modern day tools. If you have an idea you should definitely try to make it real. We also gained hands-on experience with AI integration, medical imaging workflows, and the importance of optimizing performance when working with complex visual data.
What's next for HappyMind
In the future we look forward to integrating our model locally into MRI machines so that internet connection is not necessary during emergencies. We also want to improve the accuracy of our model, expand beyond brain scans to other types of medical imaging, and collaborate with healthcare professionals to refine real-world usability.
Log in or sign up for Devpost to join the conversation.