Inspiration
The primary inspiration for this project is the critical need for early and accurate detection of Hairy Cell Leukemia (HCL). HCL is a rare, chronic form of leukemia, and timely diagnosis is crucial for effective treatment and improved patient outcomes. Traditional diagnostic methods can be time-consuming and prone to human error, which prompted the development of a more robust and efficient automated solution.
What it does
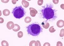
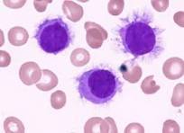
The Hairy Cell Leukemia Detector uses a novel Weighted Recurrent Neural Network (WRNN) to analyze hematological images. It identifies the distinctive cytoplasmic projections—the "hairy" features—of abnormal B-cells. . The system leverages both temporal and spatial patterns within the data to classify cells with high sensitivity and specificity, distinguishing HCL cells from both healthy and other leukemic cells.
How we built it
The WRNN was built by integrating weight-based recurrent mechanisms designed to enhance feature extraction. This unique architecture allows the model to assign greater importance to distinguishing features, such as the subtle cytoplasmic projections, while learning from the sequential data patterns found in blood cell images. This approach enabled the model to learn complex patterns more effectively than conventional methods.
Challenges we ran into
While not explicitly mentioned, a significant challenge in such a project is the rarity of HCL, which makes obtaining a large, diverse, and high-quality dataset of labeled images difficult. Another potential hurdle is ensuring the model's robustness against varying image quality, lighting, and staining techniques, which are common issues in real-world clinical data.
Accomplishments that we're proud of
We are most proud of the model's performance. Preliminary experiments have shown that the WRNN outperforms conventional methods in terms of classification accuracy and robustness against varying data quality. This demonstrates the model's superiority in capturing the complex patterns essential for an accurate HCL diagnosis.
What we learned
We learned that the specialized architecture of a WRNN is particularly well-suited for medical image analysis tasks where subtle, distinguishing features are critical. The comparative analysis with existing methodologies highlighted the WRNN's advantage in its ability to capture complex patterns in blood cell images, a key insight that validated our approach.
What's next for Hairy Cell Leukemia Detector using WRNN
The next steps involve validating the WRNN with a larger, more diverse clinical dataset to prepare it for real-world application. We plan to develop a more polished, user-friendly interface for clinicians and explore potential integrations with other diagnostic tools. Ultimately, the goal is to make this a promising tool for the early detection and diagnosis of HCL in clinical settings.
Log in or sign up for Devpost to join the conversation.