Inspiration
We were inspired to figure out more about fetal heads during pregnancy since there did not seem to be a lot of research using computer vision and A.I. doing so. We realized that we could try putting more interest on it, since looking at early signs of fetal heads and figuring out whether there could be future complications are important.
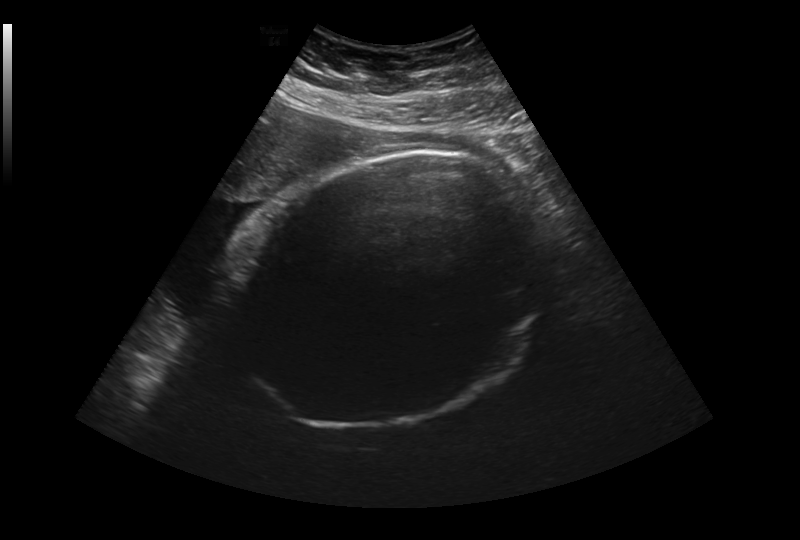
What it does
The code parses through over 300 images of different prenatal photos using computer vision technology. We are able to identify prenatal heads.
How we built it
We built it using python and Open CV. We were able to blur and sharpen the images in order to hone in on the specific portions we wanted to find in order to attempt to measure the babies head shapes.
Challenges we ran into
The main challenge we ran into was trying to quantify the babies heads for measurements, so we could start training our A.I. model using tensor flow.
Accomplishments that we're proud of
We are proud of the fact that we were able to identify the fetal heads while they were in the womb, even with the image quality being so low.
What we learned
We learned about Computer Vision and its many facets regarding blurring, sharpening, and different ways to find edge values.
What's next for Fetal Head Measurements
We hope to continue to work on this project in order to quantify the fetal head shapes so we can train our A.I. model so in the near future it will be able to predict if the baby may have possible complications for the head size being too big or small.
Log in or sign up for Devpost to join the conversation.