Inspired by the differnce we can make in the lives of people and the economic impact. AIMED helps detect pulmonary embolism early
We use image preprocessing techniques and macros to create classifiers
Real huge amount of patient data requires IRB approval and that requires time so we still waiting on training the neural network fully.
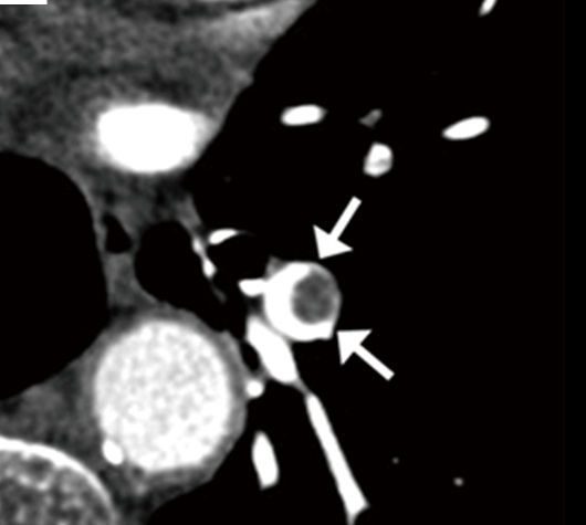
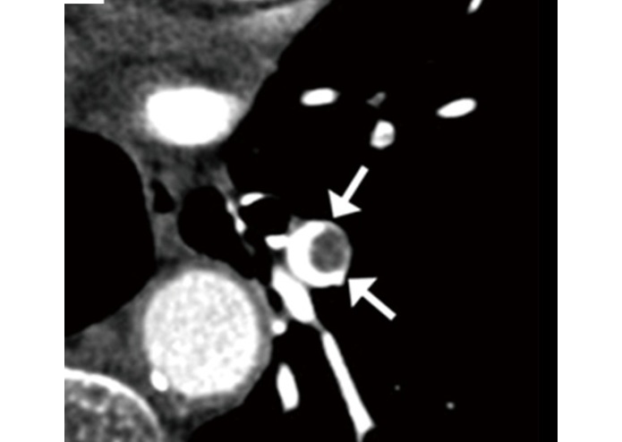
We can extract just the vessel and embolus and the radiologist can only focus on those two.
We are waiting on IRB approval so that we can get the 40000+ real patient data and outcome to train our neural network to predict our logistics automatically
Built With
- fijiimage-j
- matlab



Log in or sign up for Devpost to join the conversation.