Project Title: Detection Of Pneumonia

Inspiration

The inspiration for our project came from the pressing need to improve the efficiency of pneumonia diagnosis, a critical task for patient care. Pneumonia is a widespread, potentially life-threatening condition that often requires quick detection for effective treatment. Conventional diagnosis methods can be time-consuming, leading to delays in providing care to patients. We wanted to harness the power of artificial intelligence to address this challenge and make a positive impact on healthcare.

What we learned

Throughout the project, we gained valuable insights into the fields of deep learning, computer vision, and medical image analysis. We learned how to preprocess and augment large datasets of X-ray scans, design and train convolutional neural networks (CNNs), and fine-tune our models for accuracy. Additionally, we delved into ethical considerations, ensuring our AI system aligns with medical guidelines and respects patient privacy.

Building the Project

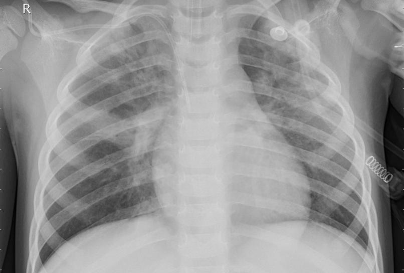
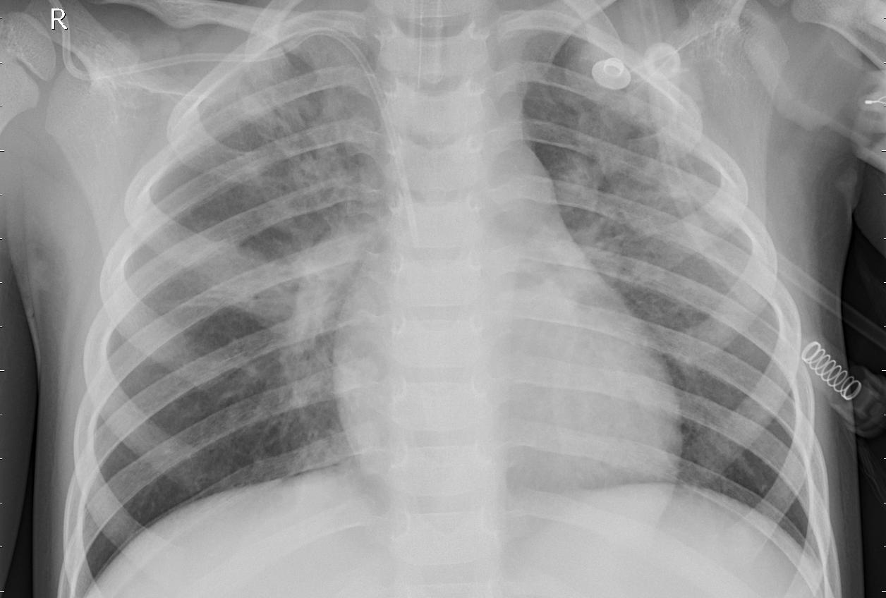
  1. Data Collection We collected a diverse dataset of chest X-ray scans from various sources, ensuring it included both normal and pneumonia cases. This data was crucial for training and testing our models.

  2. Data Preprocessing We cleaned and preprocessed the images, resizing them, normalizing pixel values, and creating labels to distinguish between normal and pneumonia cases.

  3. Model Development We implemented CNN architectures, fine-tuning them to optimize the detection of pneumonia features in X-ray scans. We utilized transfer learning, using pre-trained models as a starting point.

  4. Training We divided the dataset into training and validation sets and trained our models using powerful GPUs. We fine-tuned hyperparameters and performed extensive testing to ensure robust performance.

  5. Deployment The trained model was integrated into a user-friendly application that allowed healthcare professionals to upload X-ray scans for real-time analysis. The system provides a prediction of whether pneumonia is present or not.

Challenges we ran into

Data Quality: Ensuring high-quality data was a challenge. Variations in image quality and inconsistency in labeling required significant data preprocessing.

Ethical Considerations: Striking a balance between medical accuracy and patient privacy was a challenge. We had to ensure our system was compliant with healthcare regulations.

Performance Optimization: Tuning the model for high accuracy while keeping inference times reasonable was a constant trade-off.

User-Friendly Interface: Creating an intuitive, user-friendly interface for healthcare professionals was essential, but it required careful design and user testing.

Challenges we ran into

In conclusion, our project aimed to leverage AI to improve pneumonia detection from X-ray scans, addressing challenges related to data quality, ethics, and performance. It was a rewarding experience that deepened our understanding of both AI and the medical field, with the potential to positively impact patient care.

Built With

Share this project:

Updates