Inspiration
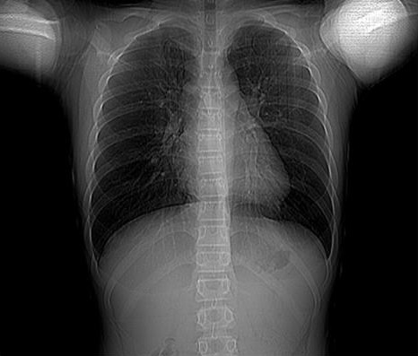
WIth the events happening around the world due to the global pandemic, I came up with this idea to build a covid detector based on XRAY images. Because SARS-CoV-2 attacks the epithelial cells lining the lungs, it can be detected from posterioranterior view of the lungs. With limited testing kits, this solution can prove to be favorable and also give results in an instant.
What it does
Classify if person has COVID or not and also identifies the regions in lungs it has spread
How I built it
Trained a ML model to classify xray images of lungs as covid positive or negative and exposed web sevice using flask
Challenges I ran into
Data scarcity
Accomplishments that I'm proud of
Built the end-to-end solution. The output also shows why the ML model predicts it is covid positive or negative. Highlights on Xray images are shown and how it resulted in the prediction.
What I learned
ML training problems with less data
What's next for COVID_DETECTOR
FIne tune the model, use other information also like geography of the person & other symptoms before confirming as a COVID positive
Built With
- flask
- jupyter
- keras
- tensorflow

Log in or sign up for Devpost to join the conversation.