Inspiration
In the current scenario where the whole world is in turmoil, we as budding computer scientists got wondering that how we can leverage our knowledge about computers to build something that can help the community fight from this pandemic. We as a team came across this great idea to help our doctors and nurses detect COVID-19 in patients with the help of good, old and easily available CT Scan technology.
What it does
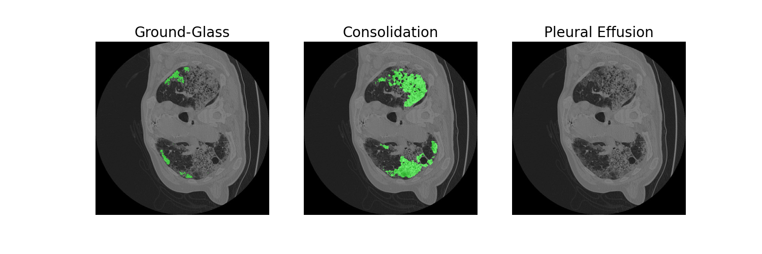
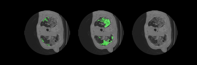
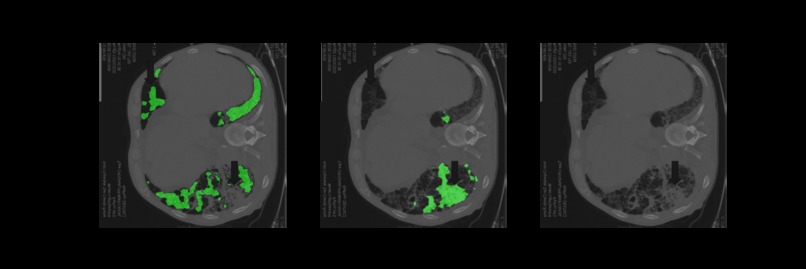
The following is an AI medical segmentation tool for detecting ground-glass, consolidation and pleural effusion in patient lung CT scans. Some reports have shown that ground-glass/consolidation measurements can further enhance the prognosis estimation for Covid-19 patients.
How we built it
For the front-end, we have used anvil which is a python-based platform to build our very own app. The platform provided us with a mechanism to build a rapid and working prototype of our idea. For our backend-server, we have deployed our deep learning model on a highly reliable AWS server using an EC2 instance. For the deep learning part, we trained a state-of-the-art U-SegNet model for medical segmentation using PyTorch.
Challenges we ran into
- Hosting the website on an AWS server instance.
- Connecting front-end with back-end.
- Finding a good dataset was a hassle. ## Accomplishments that we're proud of
- Teamwork
- A fully working application developed in a small time-frame. ## What we learned
- Anvil
- Training a DL model in the best possible way on a not so vast dataset. ## What's next for Covid-19 Medical Segmentation We aim to use better Deep Learning models to further enhance predictions. The dataset available to us was not vast enough, so the next step would be to train better DL models on bigger datasets (whenever available) to improve our model. We also would like to deploy our website on a better server, further enhance the UI and add more features.


Log in or sign up for Devpost to join the conversation.