Inspiration

We have seen numerous friends and families fall prey to the vicious coronavirus. With the ever mutating virus, there is a need for faster detection of virus, so that swift assistance and medication can be given to the patients.

What it does

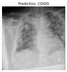
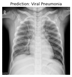
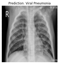
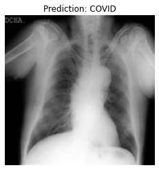
Currently, there is an urgent need for efficient tools to assess the diagnosis of COVID-19 patients. In this project, we propose a constructive solution for detecting and labeling infected tissues on CT lung images of such patients. To cut down false positives our model is trained on 4 types of lung CT images : COVID, Viral Pneumonia, Lung Opacity and normal images to get the best possible results with highest accuracy.

How we built it

We built it using Tensorflow 2.x using Python. We have developed a Convolutional Neural Network model with an average accuracy of more than 85%. We built the WebApp using Streamlit library for easy interaction with the prediction model.

Challenges we ran into

We experimented with numerous numbers of model and came up with top 5 models to represent our dataset. The challenge that we faced was finding the best dataset for training our model on. The other challenge we ran into was, our model's low accuracy and high loss. We worked on our model continously and fine tuned it to reach a very good accuracy.

Accomplishments that we're proud of

We are proud that among the top 5 models, one of our models achieved 88.8% accuracy with very low loss.

What we learned

We learned that COVID-19 can be succesfully detected through LUNG-CT images instead of tedious tests like Reverse transcription polymerase chain reaction (RT-PCR) which takes almost 5 hours and Rapid detection tests which has a low accuracy.

Our model contains the best of both worlds with quick detection and high accuracy.

What's next for COVID-19 Detection through Radiography images

We want to increase the accuracy percentage and decrease the loss for making our model a pinnacle of medical technologies.

Built With

  • keras
  • matplotlib
  • numpoy
  • python
  • streamlit
  • tensorflow
Share this project:

Updates