-
-
Train and Test Validation of Model Accuracy
-
Confusion Matrix for Disease Classification using Deep Learning Image Classification Model
-
Train and Test Validation of Model Loss
-
K-Fold Cross Validation of Model
-
Convolution Neural Network (CNN) Model Articheture
-
Normal Teeth detected using Model Prediction.
-
Psoriasis skin condition detected using Model Prediction.
-
Acne skin condition detected using Model Prediction.
-
Dental Caries Teeth Disease detected using Model Prediction.
-
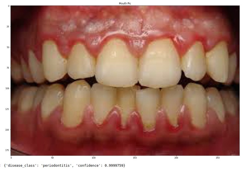
Periodontitis dental condition detected using Model Prediction.
-
Market survey for validation of assumptions.
-
Market survey for validation of assumptions.
Inspiration
Pre-Early Diagnosis of any diseases just using a mobile camera astonished us. Less awareness of people about skin and dental health among the Australian community. Solving the majority of diseases much before it gets worse. Stats that motivated us: 1 million Australians suffer from long term skin.
Among adults, 15.5 percent had severe tooth loss.
It showed 17.1 percent of Australians engaged in "risky" drinking, which contributes to decay and is linked to some forms of cancer.
14.2% are smokers and 41% are alcohol drinkers in Australia who are highly prone to Dental Diseases.
26.5% in the age group between 15 to 54 who have experienced teeth decay.
74.5% have not treated their tooth decay problems.
A business that motivated us: From the Doctors perspective: 16,549 Dentists in Australia.
484 Dermatologists in Australia.
From Health Insurance companies perspective: Total expenditure on dental services increased every year from 2007–08 to 2017–18, at an average annual growth rate of 4.4%.
Overall, $10.5 billion was spent on dental services in 2017–18
What it does:
“Early care” helps people like Jack to have an early diagnosis of skin and dental problems which can be diagnosed via visual inspection using a web and mobile app.
We are helping Doctors or Dentists to tackle potential patients like Jack to have an early diagnosis.
Once “Early Care” diagnoses any disease, it will refer it to the nearest doctors.
It also helps Health Insurance Companies by reducing the claim costs since our product addresses the health problem at an early stage, way before it has become worse.
How we built it
Data Science Steps: Data Collection Data Cleaning Data Augmentation Model Training (CNN model in Keras and TensorFlow) Model Evaluation using Train-Test Split Model Evaluation using K Fold CV Model Inference and Package Model Integration with the web app.
Front End: HTML CSS JAVASCRIPT Back End: Django
Challenges we ran into:
Coordinating over online mediums. Understanding each other's skills and shortcomings. Reducing the Pitch Video Length. Finalizing Ideas and what to deliver and what not to in a given time frame.
Accomplishments that we're proud of
Our Deep Learning Model for Classifying 3 different SKIN and DENTAL Disease is perfectly working with great accuracy. We integrated a full-fledged Data Science and DevOps pipeline in our prototype. Our Prototype is fully functioning with all necessary features to demo.
What we learned:
Team Spirit Situational Smartness Giving best in limited resources Django - Powerful Web Framework Integrating ML models in live projects.
What's next for HYF Control Alt Defeat
We are a team of Data Scientist, Developers,144 and Business Analysts and possess sound technical capabilities. Plan of Action:
Data Collection: Collaborate with Health Organization to seek anonymized skin and dental images to build our accurate Image Analytics Deep Learning model.
Building Software Infrastructure and Launching products in the market in Pilot Phase.
Tie-up with Doctors: Getting Dentists and Dermatologists on board for our “Referral Listings”.
Tie-up with Health Insurance Companies. Iterate through the above steps till and adapts as per our shareholder's needs.

Log in or sign up for Devpost to join the conversation.