Inspiration
Pneumonia is a respiratory infection caused by bacteria or viruses, it affects many individuals, especially in developing and underdeveloped nations, where high levels of pollution, unhygienic living conditions, and overcrowding are relatively common, together with inadequate medical infrastructure. Pneumonia causes pleural effusion, a condition in which fluids fill the lung, causing respiratory difficulty. Early diagnosis of pneumonia is crucial to ensure curative treatment and increase survival rates. Chest X-ray imaging is the most frequently used method for diagnosing pneumonia. However, the examination of chest X-rays is a challenging task and is prone to subjective variability. In this study, we developed a computer-aided diagnosis system for automatic pneumonia detection using chest X-ray images. We develop a deep learning approach to detect pneumonia disease detection using 3 neural network algorithms CNN with vgg16, CNN with resnet50, Unet. We create a Real Time Application Pneumonia Prediction Web App using Python – Flask Framework, Deployed in Heroku Cloud Application platform.
What it does
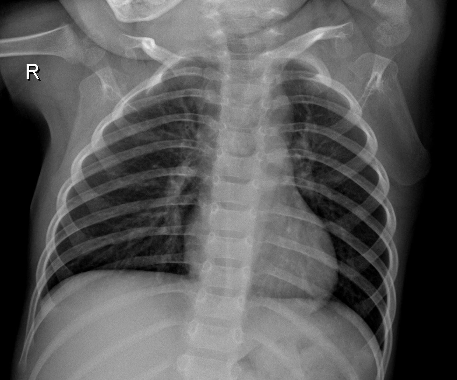
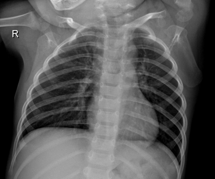
Pneumonia is an acute pulmonary infection that can be caused by bacteria, viruses, or fungi and infects the lungs, causing inflammation of the air sacs and pleural effusion, a condition in which the lung is filled with fluid. It accounts for more than 15% of deaths in children under the age of five years. Pneumonia is most common in underdeveloped and developing countries, where overpopulation, pollution, and unhygienic environmental conditions exacerbate the situation, and medical resources are scanty. Therefore, early diagnosis and management can play a pivotal role in preventing the disease from becoming fatal. Radiological examination of the lungs using computed tomography (CT), magnetic resonance imaging (MRI), or radiography (X-rays) is frequently used for diagnosis. X-ray imaging constitutes a non-invasive and relatively inexpensive examination of the lungs. Fig 1 shows an example of a pneumonic and a healthy lung X-ray. The white spots in the pneumonic X-ray (indicated with red arrows), called infiltrates, distinguish a pneumonic from a healthy condition. However, chest X-ray examinations for pneumonia detection are prone to subjective variability. Thus, an automated system for the detection of pneumonia is required. In this study, we developed a computer-aided diagnosis (CAD) system that uses an ensemble of deep transfer learning models for the accurate classification of chest X-ray images. Deep learning is an important artificial intelligence tool, which plays a crucial role in solving many complex computers vision problems.
How we built it
Artificial Intelligence has been witnessing a monumental growth in bridging the gap between the capabilities of humans and machines. Researchers and enthusiasts alike, work on numerous aspects of the field to make amazing things happen. One of many such areas is the domain of Computer Vision. The agenda for this field is to enable machines to view the world as humans do, perceive it in a similar manner and even use the knowledge for a multitude of tasks such as Image & Video recognition, Image Analysis & Classification, Media Recreation, Recommendation Systems, Natural Language Processing, etc. The advancements in Computer Vision with Deep Learning have been constructed and perfected with time, primarily over one particular algorithm — a Convolutional Neural Network. A Convolutional Neural Network (ConvNet/CNN) is a Deep Learning algorithm which can take in an input image, assign importance (learnable weights and biases) to various aspects/objects in the image and be able to differentiate one from the other. The pre-processing required in a ConvNet is much lower as compared to other classification algorithms. While in primitive methods filters are hand-engineered, with enough training, ConvNets have the ability to learn these filters/characteristics.
Challenges we ran into
The proposed solution entails the development of a comprehensive cloud-based application for pneumonia detection utilizing advanced deep learning techniques. Key components of the solution include, Deep Learning Model Development: Design and train a deep learning model using convolutional neural networks (CNNs) or similar architectures to accurately detect pneumonia from X-ray image Utilize large datasets of labeled X-ray images to train the model, ensuring robust performance across a wide range of patient demographics and imaging conditions.
Accomplishments that we're proud of
The motivation behind the development of a cloud app for pneumonia detection using deep learning with given X-ray images is driven by several key factors Public Health Impact: Pneumonia is a leading cause of morbidity and mortality worldwide, particularly among vulnerable populations such as children, the elderly, and individuals with compromised immune systems. Early and accurate detection of pneumonia is critical for timely intervention and improved patient outcomes. By leveraging deep learning technology, we aim to enhance the efficiency and accuracy of pneumonia diagnosis, ultimately contributing to better public health outcomes.
What we learned
There is a risk that healthcare professionals may become overly reliant on the automated pneumonia detection provided by the cloud app, potentially leading to complacency or overlooking other important clinical findings in X-ray images. Cost Considerations: The deployment and maintenance of a cloud-based solution entail ongoing costs associated with cloud infrastructure, data storage, and computational resources. Managing these costs effectively is essential to ensure the sustainability of the solution.
What's next for CLOUD APP FOR PNEUMONIA DETECTION WITH X-RAY IMAGES IN DL
In the future, it is hoped that transfer learning models would be trained on this dataset that would outperform these CNN models. It is also expected that neural network models based on GAN, generative adversarial networks, would also be trained and compared with the existing models. From our work, Mask-RCNN showed better results in pneumonia detection with max accuracy. The deep learning algorithms has its benefits when comparative to machine learning algorithms. But the main problem is computational cost and is high. In each and every problem, like detection, prediction, classification, recommendation systems in medical industry adopting deep learning algorithms for better precise decisions. deep learning techniques are using in radiology: radiotherapy. Google had already started its collaboration with one of the universities in England to work in radiotherapy.
Built With
- cloudflare
- cnn
- datalot
- heroku
- kernal
- python
- reset
- unet
Log in or sign up for Devpost to join the conversation.