Inspiration
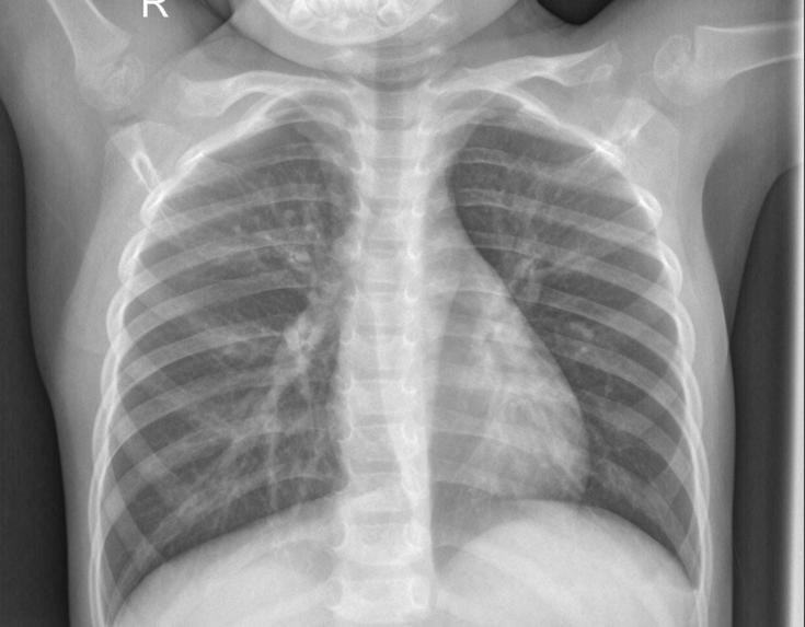
Pneumonia is a respiratory infection caused by bacteria or viruses, it affects many individuals, especially in developing and underdeveloped nations, where high levels of pollution, unhygienic living conditions, and overcrowding are relatively common, together with inadequate medical infrastructure. Pneumonia causes pleural effusion, a condition in which fluids fill the lung, causing respiratory difficulty. Early diagnosis of pneumonia is crucial to ensure curative treatment and increase survival rates. Chest X-ray imaging is the most frequently used method for diagnosing pneumonia. However, the examination of chest X-rays is a challenging task and is prone to subjective variability. In this study, we developed a computer-aided diagnosis system for automatic pneumonia detection using chest X-ray images. We develop a deep learning approach to detect pneumonia disease detection using 3 neural network algorithms CNN with vgg16, CNN with resnet50, Unet. We create a Real Time Application Pneumonia Prediction Web App using Python – Flask Framework, Deployed in Heroku Cloud Application platform.
What it does
Deep learning models stand for a new learning paradigm in artificial intelligence (AI) and machine learning. Recent breakthrough results in image analysis and speech recognition have generated a massive interest in this field because applications in many other domains providing big data seem possible. On a downside, the mathematical and computational methodology underlying deep learning models is very challenging, especially for interdisciplinary scientists. For this reason, we present in this paper an introductory review of deep learning approaches including Deep Feedforward Neural Networks (D-FFNN), Convolutional Neural Networks (CNNs), Deep Belief Networks (DBNs), Autoencoders (AEs), and Long Short-Term Memory (LSTM) networks. These models form the major core architectures of deep learning models currently used and should belong in any data scientist's toolbox. Importantly, those core architectural building blocks can be composed flexibly—in an almost Lego-like manner—to build new application-specific network architectures. Hence, a basic understanding of these network architectures is important to be prepared for future developments in AI.
How I built it
Artificial Intelligence has been witnessing a monumental growth in bridging the gap between the capabilities of humans and machines. Researchers and enthusiasts alike, work on numerous aspects of the field to make amazing things happen. One of many such areas is the domain of Computer Vision. The agenda for this field is to enable machines to view the world as humans do, perceive it in a similar manner and even use the knowledge for a multitude of tasks such as Image & Video recognition, Image Analysis & Classification, Media Recreation, Recommendation Systems, Natural Language Processing, etc. The advancements in Computer Vision with Deep Learning have been constructed and perfected with time, primarily over one particular algorithm — a Convolutional Neural Network. A Convolutional Neural Network (ConvNet/CNN) is a Deep Learning algorithm which can take in an input image, assign importance (learnable weights and biases) to various aspects/objects in the image and be able to differentiate one from the other. The pre-processing required in a ConvNet is much lower as compared to other classification algorithms. While in primitive methods filters are hand-engineered, with enough training, ConvNets have the ability to learn these filters/characteristics.
Challenges I ran into
For treating pneumonia is different for children and adults because of their different symptoms. Moreover, the children are so sensitive to treat. The Antibiotics, antivirals, antifungals, analgesics, cough suppressants will be used in medication for pneumonia prevention. If it reaches to beast mode, then the patient undergoes oxygen therapy. Moreover, the patient should take self-care like taking rest, drink plenty of liquids, and do not overstrain body. To overcome from pneumonia a patient should undergo for these treatments. Pneumonia is one of the diseases that would affect our breathing system and even could cause death if it is in outburst stage. For detection of this disease, the doctors would take time for identification. The output of this disease would threat entire world and grabs the entire medicine researcher’s sight.
Accomplishments that I'm proud of
Pneumonia remains a significant public health concern globally, contributing to substantial morbidity and mortality, particularly among vulnerable populations. Timely and accurate diagnosis of pneumonia is crucial for effective patient management and improved clinical outcomes. However, existing diagnostic methods, such as manual interpretation of X-ray images by radiologists, are often subjective, time-consuming, and prone to errors. This presents a pressing need for the development of a robust and automated system for pneumonia detection.
The objective of this project is to develop a cloud-based application powered by deep learning algorithms capable of accurately detecting pneumonia from X-ray images. The application will enable healthcare professionals to upload X-ray images securely to the cloud platform, where they will undergo automated analysis using advanced machine learning techniques. The diagnostic results, including the presence or absence of pneumonia and any associated findings, will be provided to users in a timely manner through an intuitive and user-friendly interface.
What I learned
The proposed solution entails the development of a comprehensive cloud-based application for pneumonia detection utilizing advanced deep learning techniques. Key components of the solution include, Deep Learning Model Development: Design and train a deep learning model using convolutional neural networks (CNNs) or similar architectures to accurately detect pneumonia from X-ray image Utilize large datasets of labeled X-ray images to train the model, ensuring robust performance across a wide range of patient demographics and imaging conditions. Cloud Infrastructure Setup: Establish a scalable and reliable cloud infrastructure to host and deploy the deep learning model. Select a cloud service provider (e.g., AWS, Google Cloud, Microsoft Azure) and configure computing resources, storage solutions, and networking components to support the computational requirements of the application. User Interface Development: Develop an intuitive web-based user interface that allows healthcare professionals to securely upload X-ray images and receive diagnostic results. Implement user authentication and access control mechanisms to ensure data privacy and compliance with healthcare regulations.
What's next for CLOUD APP FOR PNEUMONIA DETECTION GIVEN X-RAY IMAGES IN DL
In the future, it is hoped that transfer learning models would be trained on this dataset that would outperform these CNN models. It is also expected that neural network models based on GAN, generative adversarial networks, would also be trained and compared with the existing models. From our work, Mask-RCNN showed better results in pneumonia detection with max accuracy. The deep learning algorithms has its benefits when comparative to machine learning algorithms. But the main problem is computational cost and is high. In each and every problem, like detection, prediction, classification, recommendation systems in medical industry adopting deep learning algorithms for better precise decisions. deep learning techniques are using in radiology: radiotherapy. Google had already started its collaboration with one of the universities in England to work in radiotherapy.
Built With
- cnn
- machine-learning
- python
- resent
Log in or sign up for Devpost to join the conversation.