cCAD helps reduce cognitive bias of physicians in making important diagnostic decisions like mammograms in USA lead to 17% of recalls for more expansive testing due to defensive medicine and other cognitive bias in the USA whereas recall rates including biopsies are much lower in other countries for example in Denmark recall rate is 1/5 of USA.
cCAD helps physicians make better decisions in terms of errors of omission and omission.Errors in omission occur when procedures are not performed due to perception of rarity of occurrence such as ultrasound detection of AAA abdominal aortic aneurysm which was the primary cause of 9,863 deaths in 2014 and a contributing cause in more than 17,215 deaths in the United States in 2009. Errors of commission occur when physicians order extra tests for example expensive breast biopsies for 1.6 million women when only about 200,000 are positive for breast cancer. this is a much higher rate of unnecessary biopsies then occur in other countries possible due to the higher law suit rate in the USA.
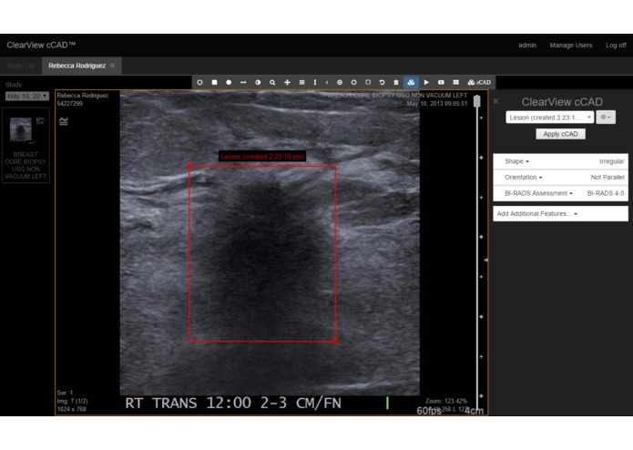
Clearview Diagnostics Inc http://www.clearviewdiagnosticsinc.com/ was formed in 2012 to create clinical decision support systems that help reduce the inter-observer variability of medical imaging diagnosis while improving detection rate and turn around time.
Challenges include obtaining FDA approval and continuing with reimbursement for reducing the costs of unnecessary biopsies which will save billions in USD
Published studies show the advantages of using cCAD,issued method patent for training machine learning system to compensate for cognitive bias in decision making for the general population , a specific group or an individual diagnostician
Cognitive bias in the medical diagnosis decision making process causes many deaths and other harms while unnecessarily increasing healthcare costs by a large margin
Looking forward to working with the GE Vscan (we are in discussions with the team and using the Vscan in a 4 million USD grant from NIH for low cost ultrasound breast diagnostics in emerging world ) and cloud to provide a internet of things IOT architecture that will allow for offline and online benefits of the cloud with low cost edge devices such as low cost pocket ultrasound machines like the Vscan to provide complex machine learning and other computational intensive applications leveraging the cloud like GE's Predix, Amazon's AWS, Google cloud or Microsoft's Azure


Log in or sign up for Devpost to join the conversation.