Inspiration
As we know in villages or in remote there are people not having good medical facilities. But through using technology we can solve medical related problems.
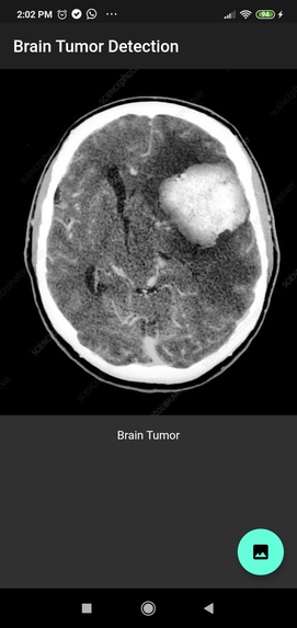
What it does
Android App with a machine learning approach to detect whether an MRI image of a brain contains a tumor or not.
How I built it
Flutter with Deeplearnling model i.e tflite
Challenges I ran into
Model accuracy, using the model in Edge Computing Device
Accomplishments that I'm proud of
The App working fine and handle all kind of image resolution
What I learned
Using the ML model in Edge Computing Device
What's next for Brain Tumor Detection App
Makin another app for Doctor that patient Connect result with firebase so that patient directly consults a neurologist and verify the result.
Log in or sign up for Devpost to join the conversation.