We would really appreciate it if you gave our project a like!
Inspiration
For Cupertino, we created a mobile application dedicated toward diagnosing specific diseases and ailments, like skin cancer, pneumonia, and COVID-19. Our app is named Artificial Insight. One has to be aware of his or her own health in order to be civically engaged, as by being health-conscious toward oneself, one will be able to simultaneously protect others. This is especially prominent today with the current worldwide pandemic—citizens must be cautious of every single action they take once they step outside of their house in order to prevent the spread of the virus. This sort of perpetual cautionary action also applies to other contagious diseases, like pneumonia, which spreads via bacteria and viruses. And while skin cancer isn’t contagious, it is hereditary—about 10% of all people who get melanoma have a family history of the disease. Thus, if citizens have an easy way to find out if they have melanoma, they will be able to discern whether or not their close blood relatives have a higher risk of developing it as well, which also ties into the theme of civics. Knowledge is power, and this power can save lives.
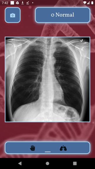
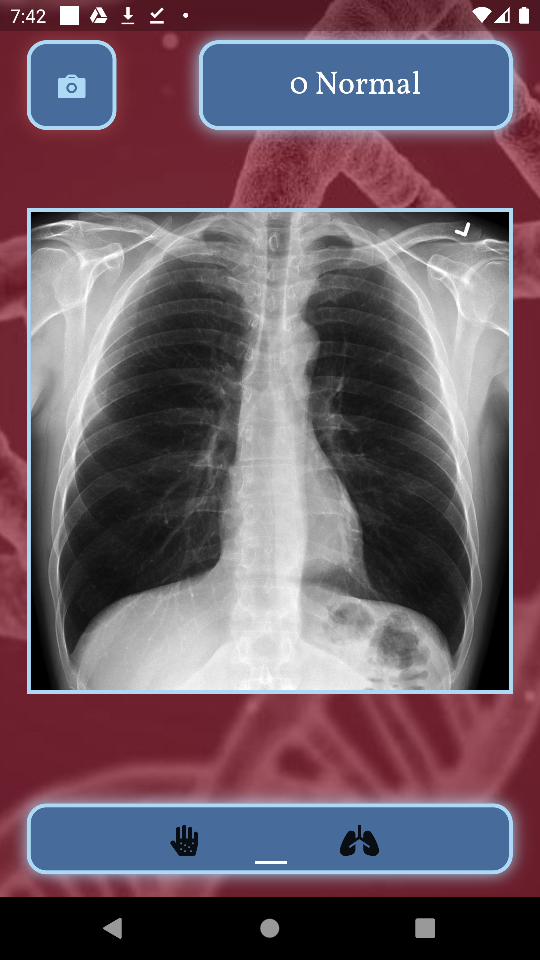
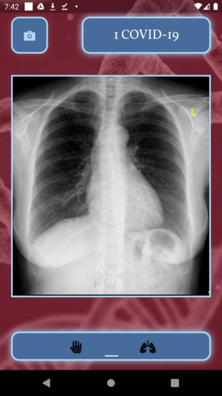
Because of this, we decided to create an application that provides easy methods to determine whether one has skin cancer, pneumonia, and/or COVID-19. It is extremely easy for an average citizen to simply take a picture of a mole on their body and use the app to determine whether or not they have signs of skin cancer. Similarly, x-ray machines are readily available in community physician offices, urgent care clinics, and hospital emergency departments, and they can provide images for diagnosis rapidly. According to the UCLA Department of Radiology, chest imaging plays a very important role in the early diagnosis and the treatment planning for patients with suspected or confirmed COVID-19 or pneumonia chest infections. Thus, we hope that our mobile application will allow citizens to be able to diagnose certain diseases early so that they will be able to obtain the treatment they need more rapidly.
What it does
Artificial Insight accurately detects cases of melanoma, a form of skin cancer, through pictures of colored pigments in skin that often resemble moles. Our app also accurately distinguishes between chest x-rays that are either healthy, have pneumonia, or have the coronavirus. The user can choose to either select a photograph of their skin or an image of a chest x-ray. On the left, they can upload a picture of a mole on their skin and the app will tell them whether they have signs of melanoma. On the right, the user can upload an image of a chest x-ray, and the app will tell them whether the x-ray provides indication of pneumonia or COVID-19. The app has an extremely rapid diagnosis response for optimal user experience.
How I built it
We created Artificial Insight on Flutter. We trained an AI using Machine Learning. We used many image datasets of melanomas and xrays to train our AI until we got a functioning image classification model for melanomas and xrays. We utilized TensorFlow Lite to deploy our models into our mobile application. With an intuitive UI, the experience is fluid for the user.
Challenges I ran into
Overall, the experience was challenging. We had lots of difficulties with our models and it took many attempts to get a well trained model. However, we believe we produced a great app that will be extremely useful to anyone who comes across it.
Accomplishments that I'm proud of
We're proud of how we were able to train models and reach accuracy in such a short timeframe.
What I learned
Overall, the process of creating this project was difficult, but fun. Time-consuming, but also enlightening, as we learned a lot about app development and machine-learning while creating our mobile application. Training our models and getting them to work within our app was extremely difficult, and we ran into countless problems, but we managed to finish Artificial Insight within the given timeline. This was the first time we worked with models and machine learning, and we definitely learned a lot.
What's next for Artificial Insight
We not only hope that our application is impressive to you, the judges, but we also hope that it will be a realistic way for people to diagnose diseases in the future.
Built With
- dart
- flutter
- tensorflow

Log in or sign up for Devpost to join the conversation.