Inspiration
Nothing is more important than saving someone's life
What it does
Accurate diagnosis of COVID-19
How I built it
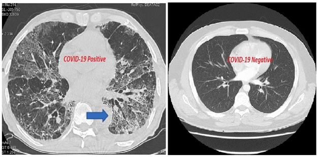
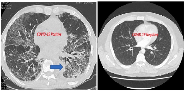
As the accuracy of any machine learning algorithm depends on the type and quality of data that is provided to it, the database for our experiment was very carefully selected. Only those patients(images) were selected whose lung CT scan images showed typical patches on the outer edges of the lungs. first the CT scan images of positive covid and normal healthy person are taken and stored in the computer. Then we are doing some pre-processing steps to enhance the image. We are making separate folders for positive cases and normal cases. For feature extraction and learning of the system, we are using custom vision software based on deep learning algorithm of Microsoft azure. Once the system gets trained, we test the system on the unseen images of positive and normal cases. After getting the results of testing, we check it with the actual condition (positive/normal) of the patient for getting accuracy of the trained model. Next step is to deploy the model,
Challenges I ran into
Getting good quality CT scan images is a challenge.
Accomplishments that I'm proud of
One doctor consulted me for his patient. Was happy to help him as his patient was showing some symptoms of covid. Received Special Mention Award in Fight India Corona Ideathon organized by MHRD’S Innovation Cell (India), AICTE, Forge and Innovatiocuris
What I learned
Medical applications, Whole process of project development, How to pitch
What's next for Accurate Diagnosis of COVID-19 Using CT Scan and AI
Want to go ahead and have a startup
Built With
- deeplearning
- py

Log in or sign up for Devpost to join the conversation.