Using CT Scan Images and AI for accurate detection of Covid
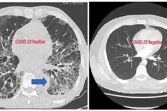
Chest CT scan image of a coronavirus infected patient showed distinctive hazy patch on outer edges of lungs. Using typical hazy patch as a feature pattern for training our AI based algorithm.