Devpost
Participate in our public hackathons
Devpost for Teams
Access your company's private hackathons
Grow your developer ecosystem and promote your platform
Drive innovation, collaboration, and retention within your organization
By use case
Blog
Insights into hackathon planning and participation
Customer stories
Inspiration from peers and other industry leaders
Planning guides
Best practices for planning online and in-person hackathons
Webinars & events
Upcoming events and on-demand recordings
Help desk
Common questions and support documentation
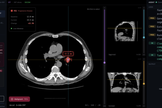
The Cursor for oncology. The future of cancer diagnostics lives here.
Stop Googling symptoms. Talk to an AI doctor that reads your face and tells you what to do.
MindEase: Your AI-powered mental health ally, helping you overcome isolation, build resilience, and find calm with personalized support, self-care tools, and real connection—anytime you need it.
MindEase: Your mental health AI companion for stress relief and self-care. With supportive chats, calming tools, and wellness resources, it’s your guide to a peaceful mind, anytime, anywhere.
ChainGuard AI: Revolutionizing Web3 security with blockchain-powered intelligence, ensuring smart contracts are secure, scalable, and transparent for developers and businesses alike.
InvestIQ: Your AI-powered financial companion that turns complex investment decisions into clear, personalized guidance— helping you build wealth with confidence, one smart move at a time.