[project categories: AI/ML, web development, mobile development]
Inspiration
Even with drastic advances in medical technology, these past years have shown us that medical diagnosis are still dependent entirely on human (doctor's) judgement. Therefore, the diagnostic process is bound to take up a lot of resources and time. We believe the advancements in AI can modernize and simplify the diagnostic process.
What it does
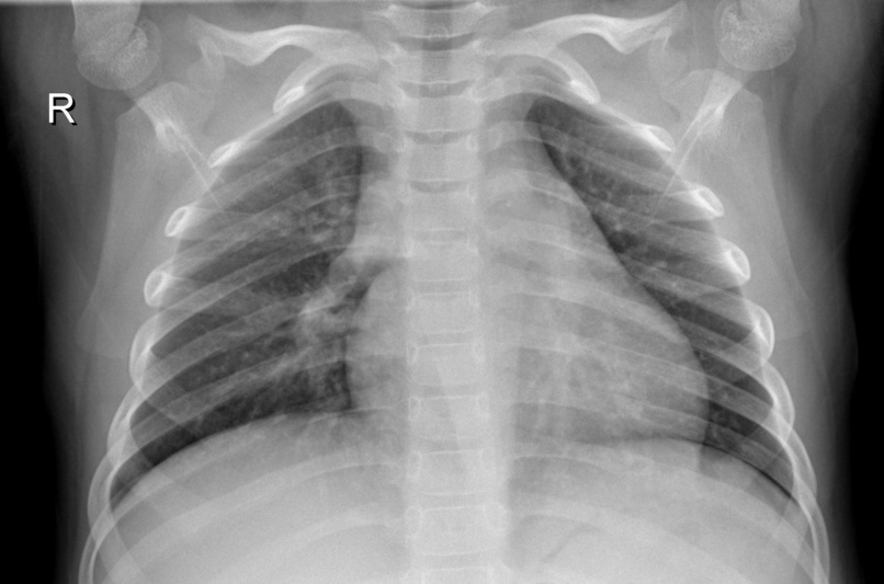
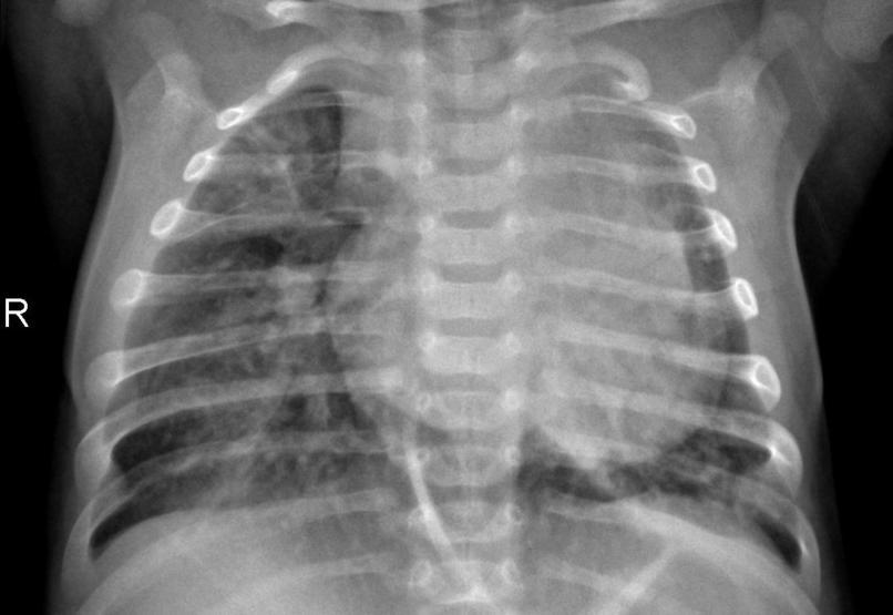
The AI Clinic webpage accepts medical images (such as xray, mri, photos) and outputs the diagnosis from those images. (Diagnosis include: Brain Cancer, Alzheimer's, Monkey Pox, Pneumonia). This is achieved through trained machine learning models. The webpage also automatically outputs the most cited Google Scholar research papers related to the specific diagnosis. And although, it is primarily intended for the use of medical professionals (doctors, nurses, technicians, etc) the general public can reap its benefits too.
How we built it
Machine Learning Models: We have trained 4 machine learning models (for now!) - Brain Cancer, Alzheimer's, Monkey Pox, Pneumonia - from datasets obtained from reliable sources in Kaggle. To further increase accuracy, we also applied data augmentation to our datasets and used transfer learning techniques. Flask Framework: We created our webpage - frontend and backend - using the flask framework. JavaScripts and CSS added functionality and UI/UX components respectively. Microsoft Azure: We set up an Ubuntu Server on Microsoft Azure from scratch. We hosted our full-stack environment on the ubuntu server primarily to make it more production-friendly for us and for scalability in the future.
Challenges we ran into
Setting up the Azure environment was particularly difficult because although the amount of control we had over Azure was tremendously useful, it also meant we had to maintain huge documentations to keep track of everything in our control.
Accomplishments that we're proud of
We're proud that we could combine the different elements of our project together to make a complete webapp that's capable of actually impacting people's lives. We have successfully made medical diagnosis more reliable/faster/easier while also making AI more accessible to all people.
What we learned
- the software development lifecycle in practice
- train models using tensorflow
- how to manipulate rest apis
- microsoft azure!
What's next for The AI Clinic
The big next step for the AI Clinic is to add even more machine learning models so we can easily classify more diseases. Adding a feedback system as to how good our predictions actually work would be valuable in the long run too. We also plan on getting CDC approval for the use of this webpage for professional medical use in hospitals.




Log in or sign up for Devpost to join the conversation.