Inspiration
As the world faces one of the most serious crises of the last century, so have our daily lives changed drastically. However, in every crisis, a plethora of opportunities for innovation arise. Seeing the many issues that medical stuff are coping with on a daily basis, we came up with an idea of a platform that could connect the doctors worldwide, in order to share securely their media and exchange opinions rapidly and effectively. In addition, medical images of infected patients are stored and can be used by AI experts for future predictions. As it is of utmost importance for the health section to understand fast the traits and the symptoms of the virus we came up with PROGNOSIS:AI.
What it does
The PROGNOSIS:AI is an innovative and simple web-based AI Medical Image Analysis platform for medical professionals. The platform allows certified medical professionals to upload their patient’s images in a confidential manner and then be anonymously processed by our machine learning backend which will produce labels on the content of the image (e.g. automated interpretation of knee MRIs). Other forms of user-generated content will consist of the posts that the users make. The platform will also allow users to open a discussion on a given medical topic and to upload the respective images that they would like to have interpreted, and analyzed. Furthermore, these discussions then also become visible to other users of the PROGNOSIS:AI platform, upon which they are able to comment on the health issue and provide their own suggestions. The owner of the discussions is then able to close his or her discussion and use the information gathered through his post on this platform to conclude on a final decision making over the diagnosis in respect of patients’ images. On top of that experts will be able to download securely health datasets that could be used for diagnosis or prediction of unknown or little known health conditions. The datasets created will be labelled in order to be used for the prediction algorithms.
How we built it
Delivery of the platform was organized through an Agile based teamwork, which utilized some of the cutting-edge web technologies. Web-application powered by artificial intelligence, and blockchain in the future, has been chosen as a most convenient and farthest reaching medium. The platform has been implemented using the MEAN stack. MEAN stack includes Express NodeJS powered server side, Angular 9 powered client side and extremely scalable NoSQL MongoDB database. The entire solution is deployed on auto-scalable cloud infrastructure with tested industry standard solution architecture. The solution platform is hosted within the EU region of the AWS data centers, ensuring that all of the user and patient data is governed by strict GDPR regulations.
In order to power the full scalability of a cloud based solution, the project has been implemented using automated continuous integration and continuous deployment pipelines. This ensures minimum down time and minimum mean recovery time when scaling the project in the future. All of the data traffic is set to use end-to-end encryption using validated SSL certificates, HTTPS protocol and custom proprietary server-side data encryption and compression.
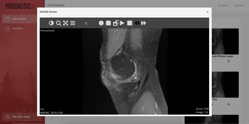
Challenges we ran into
What started as an idea of a medical community powered sharing platform, turned into a much more impactful project. Medical data is very sensitive and comes in a wide variety of formats, all of which are exclusive to the field. From a technological perspective, the primary obstacle was the integration of support for the DICOM format. DICOM is a universally used image format in the medical field, used to store images of patients obtained using CT scans, MRI machines, Xray and other technologies. Secondly, the necessary steps had to be taken to ensure the web-application offers end-to-end encrypted traffic. This ensures that no uninvited third parties can organize dangerous man-in-the-middle attacks. From a legal perspective, we had to consider a variety of data protection laws, both on the level of EU and individual countries. For this reason, the solution prototype is entirely hosted in the EU region, and any further expansion will carefully consider any regulatory data requirements.
Accomplishments that we are proud of
By using PROGNOSIS:AI, the users can share anonymized medical images and quickly find existing medical discussions based on their field of interest. Any user is able to create a discussion and ask for additional consulting in a specific health topic. Afterwards, the specialist owner is able to close the discussion, committing reviewed medical labels by the community of experts with the corresponding images to permanent storage. The final outcome of this process results in bundling of saved images in datasets that are easily shared to medical research and AI experts for future analysis.
What we learned
For a group of IT people, learning about the technology used in the medical domain and the laws surrounding the sensitive patient information was the most important step. After this project, we are much more comfortable with both of these domains.
Progress during the hackathon
The platform PROGNOSIS:AI was created from scratch during the hackathon. The first prototype was created with the basic features needed to show the potential of the platform.
The solution’s impact to the crisis
Using the platform, medical experts will be able to rapidly and effectively create discussions and gather different viewpoints for a specific health issue from fellow colleagues globally. PROGNOSIS:AI will also enable doctors and AI experts to obtain the datasets of a specific disease with a click of a button. In other words, in crises as COVID-19, experts will be able to gather enough information for the illness and conclude with impactful insights in a rapid and proactive manner.
The value of PROGNOSIS:AI after the crisis
The platform can be used for any health issue, while medical and nursing staff can take advantage of the features of communication and knowledge gathering in order to offer faster and more concrete diagnosis. The biggest value of the platform would be the quality datasets offered by it that would only grow in size over time.
What's next for PROGNOSIS:AI
Presented solution offers a preview of the most critical features. Continuing with the project would signify that the platform needs to be easily integrated with a large user base of certified professionals at medical institutions. For this reason, our goal is to facilitate secure access, build an even smarter solution with an integrated AI assistant and store the critical historic data in a fully auditable blockchain database so that the right contributions are never lost.
The platform can be accessed with the following credentials: Username: admin Password: admin



Log in or sign up for Devpost to join the conversation.