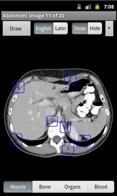
Learning anatomy interactively with a touchscreen device is dynamic and engaging. Having it as an app, makes the information available anywhere, anytime. Using the Samsung Pen, doctors can go over anatomy with patients, annotate normal anatomy images, and send the patient an email of the annotated image. This is a revolutionary way to increase doctor patient communication. iAnatomy is an exciting electronic anatomy atlas. The images are interactive. If a label is touched, the name of the structure is shown. Images span from the face to the pelvis. The face and neck images and the female pelvis images are reconstructed from data from the National Library of Medicine's Visible Human ProjectⓇ. iAnatomy is designed to stand on its own and does not require an ongoing internet connection. Anatomy labels can be hidden or shown. Anatomy can be viewed with either English or Latin medical terminology. A 'Draw' option allows the user to take an image, annotate it and mark it up and then save and/or email the annotated image. This is useful for healthcare workers using the image annotation to explain relevant anatomy and pathology to their patients. They can then email the image with their notations to the patient. This will help improve communication between patients and healthcare workers and is a useful tool for patient education.
iAnatomy helps students from middle school through medical school learn anatomy in a fun, organized way. You first choose the body part you want to study, then pick the category of anatomy labels to be displayed. The labels are divided into Muscle, Bone, Organs, or Blood categories in order to focus learning and limit the number of labels on the image at any one time.

Log in or sign up for Devpost to join the conversation.